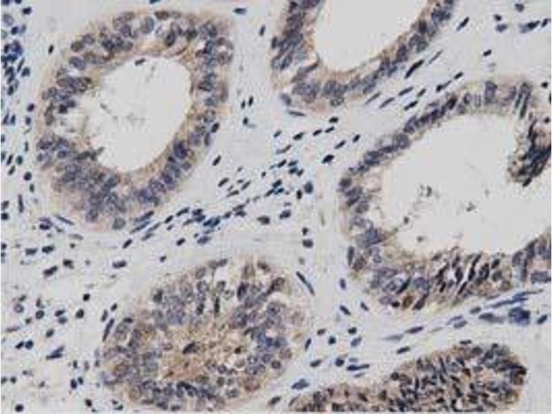
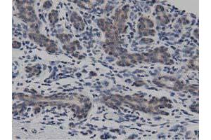
DNAJA2 antibody
Quick Overview for DNAJA2 antibody (ABIN1497862)
Target
See all DNAJA2 AntibodiesReactivity
Host
Clonality
Conjugate
Application
Clone
-
-
Specificity
- Human DNAJA2
-
Purification
- Protein A/G purified
-
Immunogen
-
Full length human recombinant protein of human DNAJA2 (NP_005871) produced in HEK293T cell.
Type of Immunogen: Recombinant protein -
Isotype
- IgG1
-
-
-
-
Application Notes
-
Approved: Flo (1:100), IF (1:100), IHC, IHC-P (1:50 - 1:150), WB (1:500)
Usage: Concentration: 0.37 mg/mL (Lot dependent) -
Comment
-
Target Species of Antibody: Human
-
Restrictions
- For Research Use only
-
-
-
Format
- Liquid
-
Concentration
- Lot specific
-
Buffer
- PBS, pH 7.3, 1 % BSA, 50 % glycerol, 0.02 % sodium azide
-
Preservative
- Sodium azide
-
Precaution of Use
- This product contains Sodium azide: a POISONOUS AND HAZARDOUS SUBSTANCE which should be handled by trained staff only.
-
Handling Advice
- Minimize freezing and thawing.
-
Storage
- -20 °C
-
Storage Comment
- Store at -20°C. Avoid freeze-thaw cycles.
-
-
- DNAJA2 (DnaJ (Hsp40) Homolog, Subfamily A, Member 2 (DNAJA2))
-
Alternative Name
- DNAJA2
-
Background
-
Name/Gene ID: DNAJA2
Synonyms: DNAJA2, CPR3, DJ3, DJA2, DNJ3, HIRIP4, HIRA interacting protein 4, RDJ2, DnaJ, HIRA-interacting protein 4, PRO3015 -
Gene ID
- 10294
-
NCBI Accession
- NP_005871
Target
-