Phone:
+1 877 302 8632
Fax:
+1 888 205 9894 (Toll-free)
E-Mail:
orders@antibodies-online.com

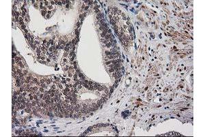
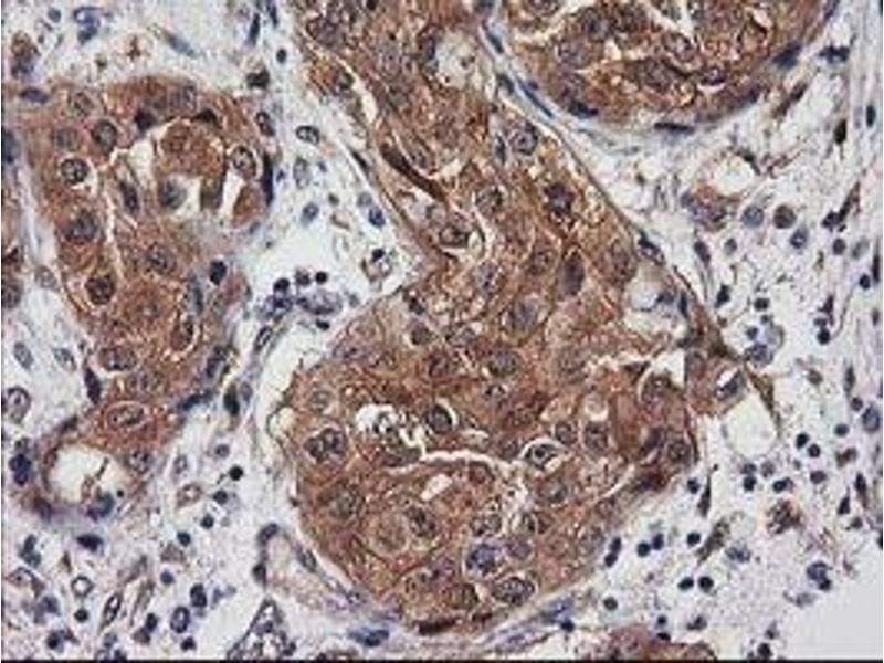
Destrin antibody

The Mouse Monoclonal anti-Destrin antibody is suitable to detect Destrin in samples from Human, Monkey and Dog. It has been validated for WB, IHC, FACS, IF and IHC (p).
Catalog No. ABIN1497908
$704.73
Plus shipping costs $50.00
100 μL
Shipping to: United States
Delivery in 11 to 15 Business Days

Quick Overview for Destrin antibody (ABIN1497908)

Target

See all Destrin (DSTN) Antibodies
Destrin (DSTN) (Destrin (Actin Depolymerizing Factor) (DSTN))

Reactivity

  • 68
  • 19
  • 18
  • 3
  • 3
  • 2
  • 2
  • 2
  • 2
  • 1
  • 1
  • 1
  • 1
  • 1
Human, Monkey, Dog

Host

  • 59
  • 9
Mouse

Clonality

  • 45
  • 23
Monoclonal

Conjugate

  • 30
  • 4
  • 4
  • 3
  • 2
  • 2
  • 2
  • 2
  • 2
  • 2
  • 1
  • 1
  • 1
  • 1
  • 1
  • 1
  • 1
  • 1
  • 1
  • 1
  • 1
  • 1
  • 1
  • 1
  • 1
This Destrin antibody is un-conjugated

Application

  • 56
  • 28
  • 25
  • 18
  • 14
  • 14
  • 13
  • 13
  • 13
  • 8
  • 3
  • 1
Western Blotting (WB), Immunohistochemistry (IHC), Flow Cytometry (FACS), Immunofluorescence (IF), Immunohistochemistry (Paraffin-embedded Sections) (IHC (p))

Clone

1D8
You are here:
Chat with us!