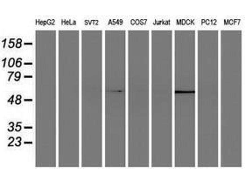
ELK3 antibody
Quick Overview for ELK3 antibody (ABIN1498007)
Target
See all ELK3 AntibodiesReactivity
Host
Clonality
Conjugate
Application
Clone
-
-
Specificity
- Human ELK3 / NET
-
Purification
- Protein A/G purified
-
Immunogen
-
Full length human recombinant protein of human ELK3(NP_005221) produced in HEK293T cell.
Type of Immunogen: Recombinant protein -
Isotype
- IgG2a
-
-
-
-
Application Notes
- Approved: Flo (1:100), IF (1:100), WB (1:500 - 1:2000)
-
Comment
-
Target Species of Antibody: Human
-
Restrictions
- For Research Use only
-
-
-
Format
- Liquid
-
Concentration
- Lot specific
-
Buffer
- PBS, pH 7.3, 1 % BSA, 50 % glycerol, 0.02 % sodium azide
-
Preservative
- Sodium azide
-
Precaution of Use
- This product contains Sodium azide: a POISONOUS AND HAZARDOUS SUBSTANCE which should be handled by trained staff only.
-
Storage
- -20 °C
-
Storage Comment
- Store at -20°C. Avoid freeze-thaw cycles.
-
-
- ELK3 (ELK3, ETS-Domain Protein (SRF Accessory Protein 2) (ELK3))
-
Alternative Name
- ELK3 / NET
-
Background
-
Name/Gene ID: ELK3
Family: Transcription factor
Synonyms: ELK3, ERP, Ets-domain protein elk-3, ETS-related protein NET, ETS-domain protein, NET, SAP-2, SAP2, SRF accessory protein 2, ETS-related protein ERP -
Gene ID
- 2004
-
NCBI Accession
- NP_005221
Target
-