FDFT1 antibody
Quick Overview for FDFT1 antibody (ABIN1498243)
Target
See all FDFT1 AntibodiesReactivity
Host
Clonality
Conjugate
Application
Clone
-
-
Specificity
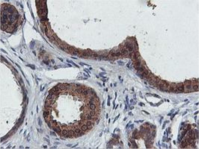
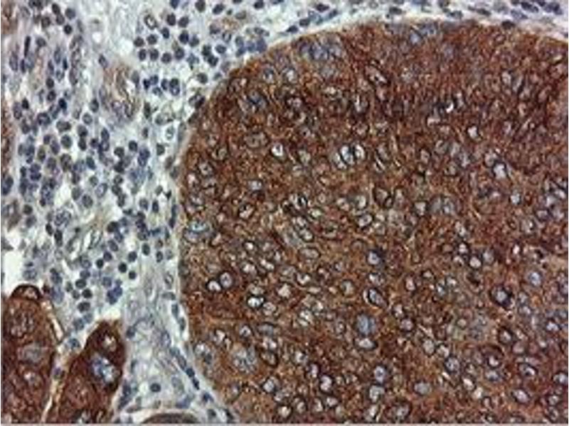
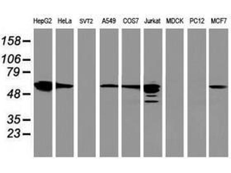
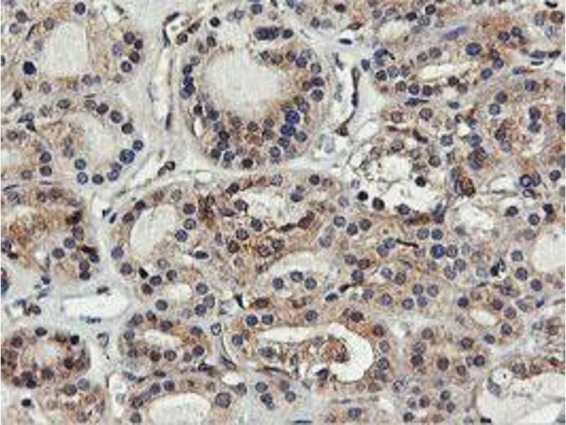
- Human FDFT1 / Squalene Synthase
-
Purification
- Protein A/G purified
-
Immunogen
-
Full length human recombinant protein of human FDFT1(NP_004453) produced in HEK293T cell.
Type of Immunogen: Recombinant protein -
Isotype
- IgG2a
-
-
-
-
Application Notes
- Approved: IF (1:100), IHC, IHC-P (1:150), WB (1:200 - 1:500)
-
Comment
-
Target Species of Antibody: Human
-
Restrictions
- For Research Use only
-
-
-
Format
- Liquid
-
Concentration
- Lot specific
-
Buffer
- PBS, pH 7.3, 1 % BSA, 50 % glycerol, 0.02 % sodium azide
-
Preservative
- Sodium azide
-
Precaution of Use
- This product contains Sodium azide: a POISONOUS AND HAZARDOUS SUBSTANCE which should be handled by trained staff only.
-
Storage
- -20 °C
-
Storage Comment
- Store at -20°C. Avoid freeze-thaw cycles.
-
-
- FDFT1 (Farnesyl-Diphosphate Farnesyltransferase 1 (FDFT1))
-
Alternative Name
- FDFT1 / Squalene Synthase
-
Background
-
Name/Gene ID: FDFT1
Synonyms: FDFT1, DGPT, ERG9, SS, Squalene synthetase, SQS, FPP:FPP farnesyltransferase, Squalene synthase -
Gene ID
- 2222
-
NCBI Accession
- NP_004453
-
Pathways
- Regulation of Lipid Metabolism by PPARalpha
Target
-