IGF2BP2 antibody
Quick Overview for IGF2BP2 antibody (ABIN1498822)
Target
See all IGF2BP2 AntibodiesReactivity
Host
Clonality
Conjugate
Application
Clone
-
-
Specificity
- Human IGF2BP2
-
Purification
- Protein A/G purified
-
Immunogen
-
Full length human recombinant protein of human IGF2BP2 (NP_006333) produced in HEK293T cell.
Type of Immunogen: Recombinant protein -
Isotype
- IgG1
-
-
-
-
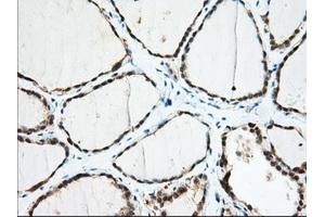
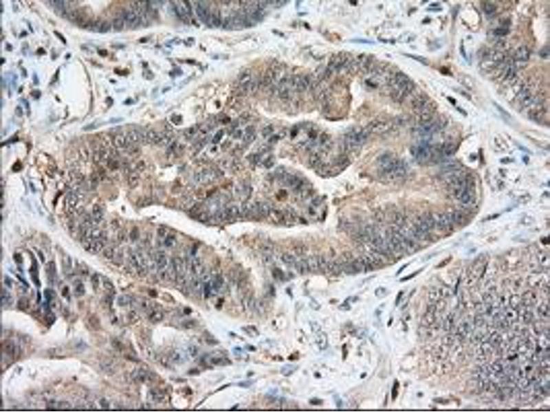
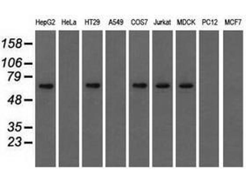
Application Notes
- Approved: Flo (1:100), IF (1:100), IHC, IHC-P (1:50), WB (1:1000 - 1:2000)
-
Comment
-
Target Species of Antibody: Human
-
Restrictions
- For Research Use only
-
-
-
Format
- Liquid
-
Concentration
- Lot specific
-
Buffer
- PBS, pH 7.3, 1 % BSA, 50 % glycerol, 0.02 % sodium azide
-
Preservative
- Sodium azide
-
Precaution of Use
- This product contains Sodium azide: a POISONOUS AND HAZARDOUS SUBSTANCE which should be handled by trained staff only.
-
Handling Advice
- Minimize freezing and thawing.
-
Storage
- -20 °C
-
Storage Comment
- Store at -20°C. Avoid freeze-thaw cycles.
-
-
- IGF2BP2 (Insulin-Like Growth Factor 2 mRNA Binding Protein 2 (IGF2BP2))
-
Alternative Name
- IGF2BP2
-
Background
-
Name/Gene ID: IGF2BP2
Synonyms: IGF2BP2, IMP2, IGF2 mRNA-binding protein 2, p62, VICKZ2, IGF-II mRNA-binding protein 2, IMP-2, VICKZ family member 2 -
Gene ID
- 10644
-
NCBI Accession
- NP_006333
-
UniProt
- Q9Y6M1
Target
-