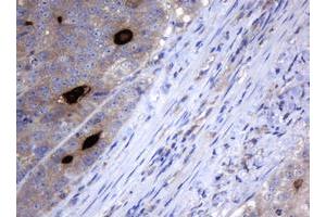
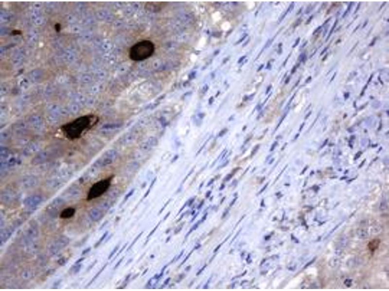
MAGEA3 antibody
Quick Overview for MAGEA3 antibody (ABIN1499254)
Target
See all MAGEA3 AntibodiesReactivity
Host
Clonality
Conjugate
Application
Clone
-
-
Specificity
- Human MAGEA3
-
Purification
- Protein A/G purified
-
Immunogen
-
Full length human recombinant protein of human MAGEA3 (NP_005353) produced in HEK293T cell.
Type of Immunogen: Recombinant protein -
Isotype
- IgG1
-
-
-
-
Application Notes
- Approved: IHC, IHC-P (1:150), WB (1:2000)
-
Comment
-
Target Species of Antibody: Human
-
Restrictions
- For Research Use only
-
-
-
Format
- Liquid
-
Concentration
- Lot specific
-
Buffer
- PBS, pH 7.3, 1 % BSA, 50 % glycerol, 0.02 % sodium azide
-
Preservative
- Sodium azide
-
Precaution of Use
- This product contains Sodium azide: a POISONOUS AND HAZARDOUS SUBSTANCE which should be handled by trained staff only.
-
Handling Advice
- Minimize freezing and thawing.
-
Storage
- -20 °C
-
Storage Comment
- Store at -20°C. Avoid freeze-thaw cycles.
-
-
- MAGEA3 (Melanoma Antigen Family A, 3 (MAGEA3))
-
Alternative Name
- MAGEA3
-
Background
-
Name/Gene ID: MAGEA3
Synonyms: MAGEA3, Antigen MZ2-D, Cancer/testis antigen 1.3, CT1.3, HYPD, MAGE-3 antigen, Melanoma-associated antigen 3, HIP8, MAGE3, Melanoma antigen family A, 3 -
Gene ID
- 4102
-
NCBI Accession
- NP_005353
-
UniProt
- P43357
Target
-