MRPS34 antibody
Quick Overview for MRPS34 antibody (ABIN1499566)
Target
See all MRPS34 AntibodiesReactivity
Host
Clonality
Conjugate
Application
Clone
-
-
Specificity
- Human MRPS34
-
Purification
- Protein A/G purified
-
Immunogen
-
Full length human recombinant protein of human MRPS34(NP_076425) produced in E. coli.
Type of Immunogen: Recombinant protein -
Isotype
- IgG1
-
-
-
-
Application Notes
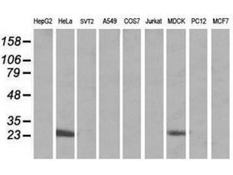
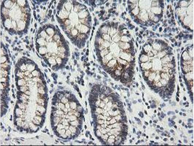
- Approved: IF (1:100), IHC, IHC-P (1:150), WB (1:500 - 1:1000)
-
Comment
-
Target Species of Antibody: Human
-
Restrictions
- For Research Use only
-
-
-
Format
- Liquid
-
Concentration
- Lot specific
-
Buffer
- PBS, pH 7.3, 1 % BSA, 50 % glycerol, 0.02 % sodium azide
-
Preservative
- Sodium azide
-
Precaution of Use
- This product contains Sodium azide: a POISONOUS AND HAZARDOUS SUBSTANCE which should be handled by trained staff only.
-
Storage
- -20 °C
-
Storage Comment
- Store at -20°C. Avoid freeze-thaw cycles.
-
-
- MRPS34 (Mitochondrial Ribosomal Protein S34 (MRPS34))
-
Alternative Name
- MRPS34
-
Background
-
Name/Gene ID: MRPS34
Synonyms: MRPS34, S34mt, MRP-S34, MRP-S12 -
Gene ID
- 65993
-
NCBI Accession
- NP_076425
Target
-