CHN1 antibody
Quick Overview for CHN1 antibody (ABIN1499629)
Target
See all CHN1 (ARHGAP2) AntibodiesReactivity
Host
Clonality
Conjugate
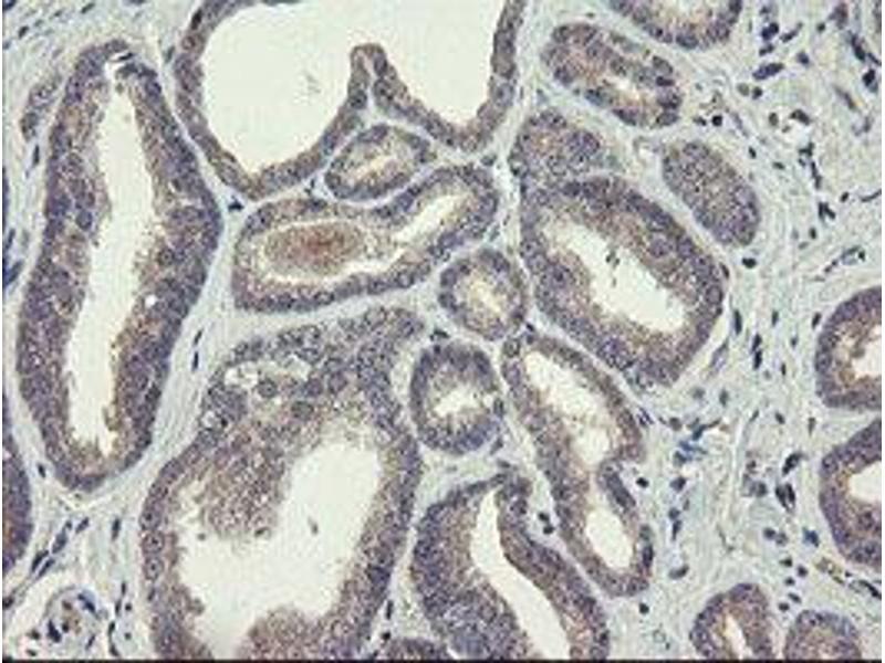
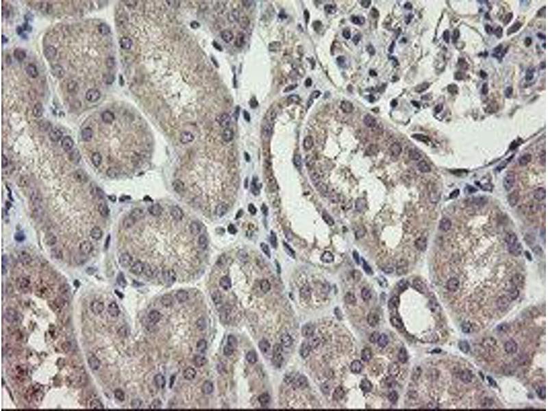
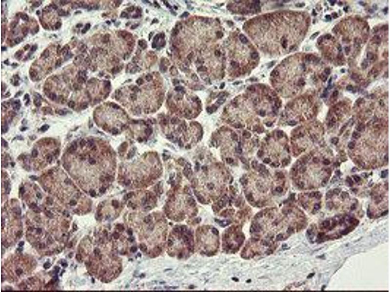
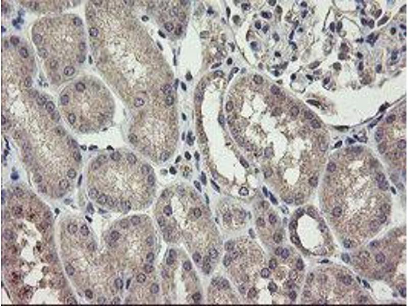
Application
Clone
-
-
Specificity
- Human N-Chimerin / CHN1
-
Purification
- Protein A/G purified
-
Immunogen
-
Full length human recombinant protein of human CHN1(NP_001813) produced in HEK293T cell.
Type of Immunogen: Recombinant protein -
Isotype
- IgG1
-
-
-
-
Application Notes
- Approved: IHC, IHC-P (1:150), WB (1:2000)
-
Comment
-
Target Species of Antibody: Human
-
Restrictions
- For Research Use only
-
-
-
Format
- Liquid
-
Concentration
- Lot specific
-
Buffer
- PBS, pH 7.3, 1 % BSA, 50 % glycerol, 0.02 % sodium azide
-
Preservative
- Sodium azide
-
Precaution of Use
- This product contains Sodium azide: a POISONOUS AND HAZARDOUS SUBSTANCE which should be handled by trained staff only.
-
Handling Advice
- Minimize freezing and thawing.
-
Storage
- -20 °C
-
Storage Comment
- Store at -20°C. Avoid freeze-thaw cycles.
-
-
- CHN1 (ARHGAP2) (rho GTPase Activating Protein 2 (ARHGAP2))
-
Alternative Name
- CHN1
-
Background
-
Name/Gene ID: CHN1
Synonyms: CHN1, A-chimaerin, Alpha-chimerin, Chimerin 1, Chimerin (chimaerin) 1, CHN, DURS2, Duane retraction syndrome 2, N-chimaerin, N-chimerin, NC, RhoGAP2, ARHGAP2 -
Gene ID
- 1123
-
NCBI Accession
- NP_001813
-
UniProt
- P15882
Target
-