NLN antibody
Quick Overview for NLN antibody (ABIN1499710)
Target
See all NLN AntibodiesReactivity
Host
Clonality
Conjugate
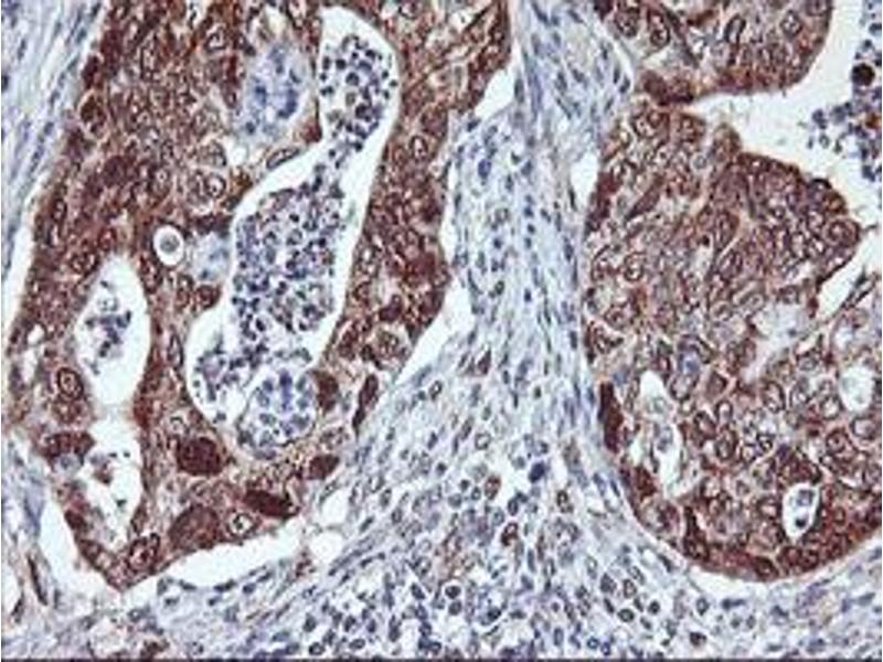
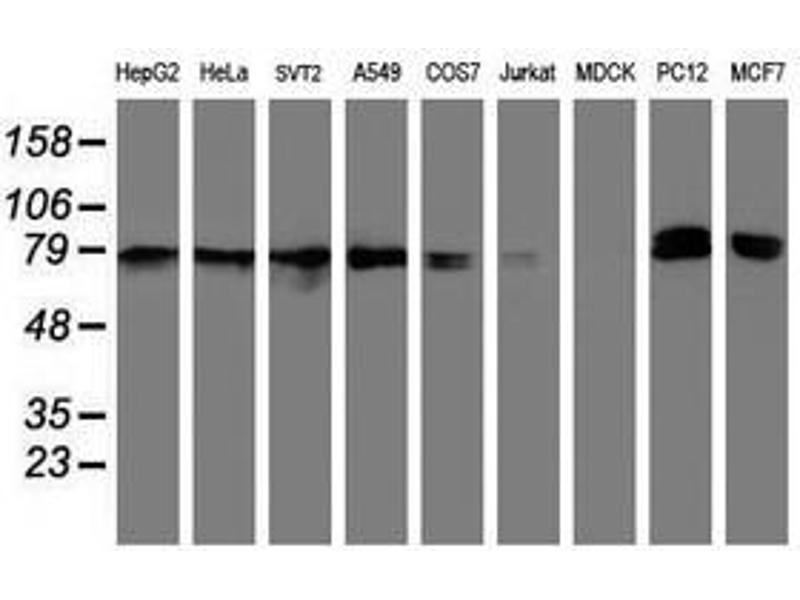
Application
Clone
-
-
Specificity
- Human Neurolysin
-
Purification
- Protein A/G purified
-
Immunogen
-
Full length human recombinant protein of human NLN(NP_065777) produced in HEK293T cell.
Type of Immunogen: Recombinant protein -
Isotype
- IgG1
-
-
-
-
Application Notes
- Approved: Flo (1:100), IF (1:100), IHC, IHC-P (1:150), WB (1:500 - 1:2000)
-
Comment
-
Target Species of Antibody: Human
-
Restrictions
- For Research Use only
-
-
-
Format
- Liquid
-
Concentration
- Lot specific
-
Buffer
- PBS, pH 7.3, 1 % BSA, 50 % glycerol, 0.02 % sodium azide
-
Preservative
- Sodium azide
-
Precaution of Use
- This product contains Sodium azide: a POISONOUS AND HAZARDOUS SUBSTANCE which should be handled by trained staff only.
-
Handling Advice
- Minimize freezing and thawing.
-
Storage
- -20 °C
-
Storage Comment
- Store at -20°C. Avoid freeze-thaw cycles.
-
-
- NLN (Neurolysin (Metallopeptidase M3 Family) (NLN))
-
Alternative Name
- NLN / Neurolysin
-
Background
-
Name/Gene ID: NLN
Subfamily: Metallopeptidase M3
Family: Protease
Synonyms: NLN, AGTBP, Angiotensin binding protein, Angiotensin-binding protein, Endopeptidase 24.16, Endopeptidase 3.4.24.16, Neurolysin, Neurolysin, mitochondrial, KIAA1226, MEP, MOP, Neurotensin endopeptidase, EP24.16, Microsomal endopeptidase, Mitochondrial oligopeptidase M -
Gene ID
- 57486
-
NCBI Accession
- NP_065777
-
UniProt
- Q9BYT8
Target
-