NDEL1 antibody
Quick Overview for NDEL1 antibody (ABIN1499855)
Target
See all NDEL1 AntibodiesReactivity
Host
Clonality
Conjugate
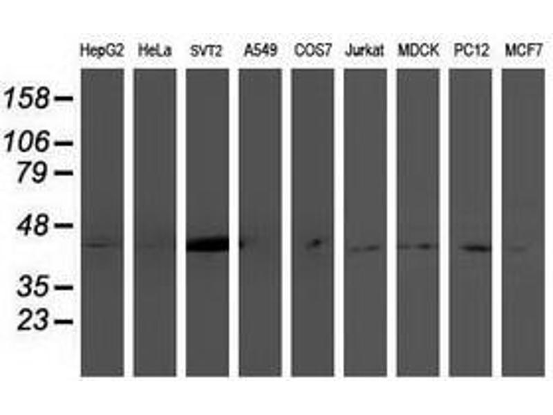
Application
Clone
-
-
Specificity
- Human NUDEL / NDEL1
-
Purification
- Protein A/G purified
-
Immunogen
-
Full length human recombinant protein of human NDEL1 (NP_001020750) produced in HEK293T cell.
Type of Immunogen: Recombinant protein -
Isotype
- IgG2b
-
-
-
-
Application Notes
- Approved: Flo (1:100), WB (1:500 - 1:2000)
-
Comment
-
Target Species of Antibody: Human
-
Restrictions
- For Research Use only
-
-
-
Format
- Liquid
-
Concentration
- Lot specific
-
Buffer
- PBS, pH 7.3, 1 % BSA, 50 % glycerol, 0.02 % sodium azide
-
Preservative
- Sodium azide
-
Precaution of Use
- This product contains Sodium azide: a POISONOUS AND HAZARDOUS SUBSTANCE which should be handled by trained staff only.
-
Handling Advice
- Minimize freezing and thawing.
-
Storage
- -20 °C
-
Storage Comment
- Store at -20°C. Avoid freeze-thaw cycles.
-
-
- NDEL1 (NudE Nuclear Distribution E Homolog (A. Nidulans)-Like 1 (NDEL1))
-
Alternative Name
- NUDEL / NDEL1
-
Background
-
Name/Gene ID: NDEL1
Synonyms: NDEL1, Endooligopeptidase A, MITAP1, NUDEL, Protein Nudel, EOPA, Mitosin-associated protein 1 -
Gene ID
- 81565
-
NCBI Accession
- NP_001020750
-
UniProt
- Q9GZM8
-
Pathways
- Regulation of Cell Size
Target
-