OTUB1 antibody
Quick Overview for OTUB1 antibody (ABIN1499930)
Target
See all OTUB1 AntibodiesReactivity
Host
Clonality
Conjugate
Application
Clone
-
-
Specificity
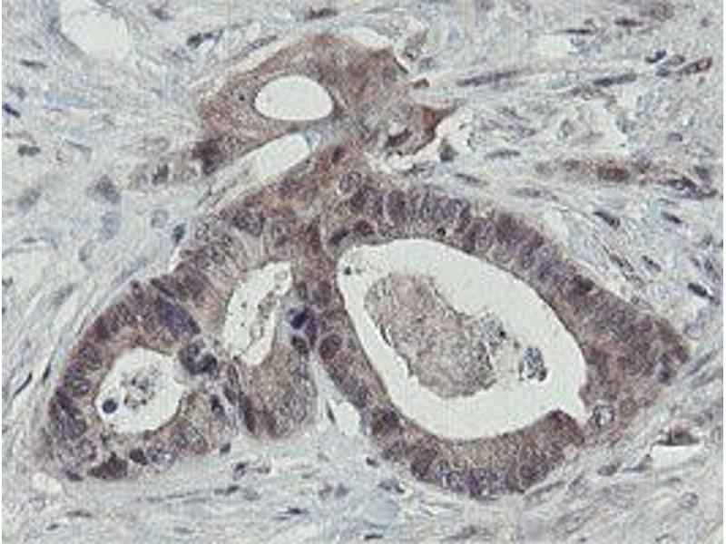
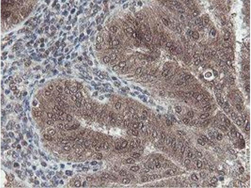
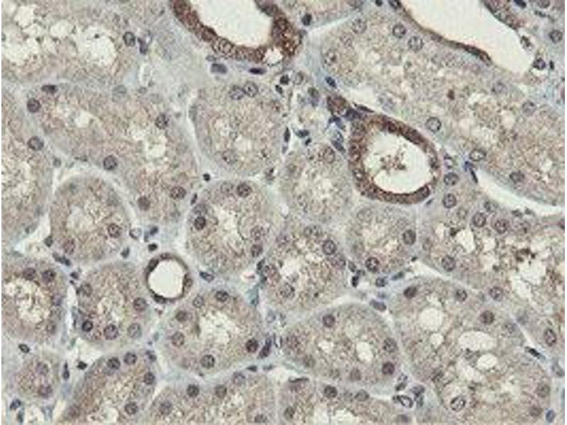
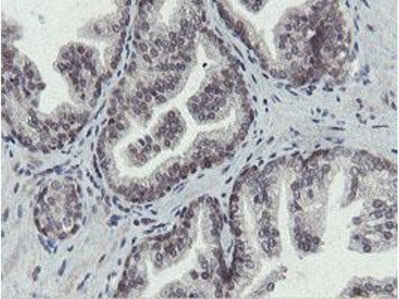
- Human OTUB1 / OTU1
-
Purification
- Protein A/G purified
-
Immunogen
-
Full length human recombinant protein of human OTUB1(NP_060140) produced in HEK293T cell.
Type of Immunogen: Recombinant protein -
Isotype
- IgG1
-
-
-
-
Application Notes
- Approved: Flo (1:100), IHC, IHC-P (1:150), WB (1:2000)
-
Comment
-
Target Species of Antibody: Human
-
Restrictions
- For Research Use only
-
-
-
Format
- Liquid
-
Concentration
- Lot specific
-
Buffer
- PBS, pH 7.3, 1 % BSA, 50 % glycerol, 0.02 % sodium azide
-
Preservative
- Sodium azide
-
Precaution of Use
- This product contains Sodium azide: a POISONOUS AND HAZARDOUS SUBSTANCE which should be handled by trained staff only.
-
Storage
- -20 °C
-
Storage Comment
- Store at -20°C. Avoid freeze-thaw cycles.
-
-
- OTUB1 (OTU Domain, Ubiquitin Aldehyde Binding 1 (OTUB1))
-
Alternative Name
- OTUB1 / OTU1
-
Background
-
Name/Gene ID: OTUB1
Synonyms: OTUB1, Deubiquitinating enzyme OTUB1, HSPC263, HOTU1, OTU-domain Ubal-binding 1, OTU1, Otubain-1, Ubiquitin thioesterase OTUB1, OTB1 -
Gene ID
- 55611
-
NCBI Accession
- NP_060140
Target
-