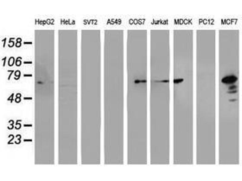
PDIA4 antibody
Quick Overview for PDIA4 antibody (ABIN1500108)
Target
See all PDIA4 AntibodiesReactivity
Host
Clonality
Conjugate
Application
Clone
-
-
Specificity
- Human PDIA4 / ERp72
-
Purification
- Protein A/G purified
-
Immunogen
-
Full length human recombinant protein of human PDIA4(NP_004902) produced in HEK293T cell.
Type of Immunogen: Recombinant protein -
Isotype
- IgG2a
-
-
-
-
Application Notes
- Approved: IF (1:100), WB (1:2000)
-
Comment
-
Target Species of Antibody: Human
-
Restrictions
- For Research Use only
-
-
-
Format
- Liquid
-
Concentration
- Lot specific
-
Buffer
- PBS, pH 7.3, 1 % BSA, 50 % glycerol, 0.02 % sodium azide
-
Preservative
- Sodium azide
-
Precaution of Use
- This product contains Sodium azide: a POISONOUS AND HAZARDOUS SUBSTANCE which should be handled by trained staff only.
-
Handling Advice
- Minimize freezing and thawing.
-
Storage
- -20 °C
-
Storage Comment
- Store at -20°C. Avoid freeze-thaw cycles.
-
-
- PDIA4 (Protein Disulfide Isomerase Family A, Member 4 (PDIA4))
-
Alternative Name
- PDIA4 / ERP72
-
Background
-
Name/Gene ID: PDIA4
Synonyms: PDIA4, ER protein 70, ERp-72, ERP70, ERP72, Protein disulfide-isomerase A4, ER protein 72 -
Gene ID
- 9601
-
NCBI Accession
- NP_004902
-
UniProt
- P13667
-
Pathways
- Thyroid Hormone Synthesis, Cell RedoxHomeostasis
Target
-