Phone:
+1 877 302 8632
Fax:
+1 888 205 9894 (Toll-free)
E-Mail:
orders@antibodies-online.com

PMVK antibody

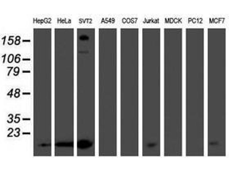
The Mouse Monoclonal anti-PMVK antibody (Clone 2D1) (ABIN1500303) specifically detects PMVK in WB. The antibody is reactive with Human and Mouse samples.
Catalog No. ABIN1500303
$704.73
Plus shipping costs $50.00
100 μL
Shipping to: United States
Delivery in 11 to 15 Business Days

Quick Overview for PMVK antibody (ABIN1500303)

Target

See all PMVK Antibodies
PMVK (Phosphomevalonate Kinase (PMVK))

Reactivity

  • 41
  • 27
  • 9
Human, Mouse

Host

  • 32
  • 9
Mouse

Clonality

  • 33
  • 7
Monoclonal

Conjugate

  • 23
  • 2
  • 2
  • 1
  • 1
  • 1
  • 1
  • 1
  • 1
  • 1
  • 1
  • 1
  • 1
  • 1
  • 1
  • 1
  • 1
This PMVK antibody is un-conjugated

Application

  • 37
  • 13
  • 13
  • 10
  • 7
  • 5
  • 5
  • 5
  • 4
  • 3
  • 3
  • 1
  • 1
Western Blotting (WB)

Clone

2D1
  • Specificity

    Human PMVK

    Purification

    Protein A/G purified

    Immunogen

    Full length human recombinant protein of human PMVK(NP_006547) produced in HEK293T cell.

    Type of Immunogen: Recombinant protein

    Isotype

    IgG2b
  • Application Notes

    Approved: WB (1:500 - 1:2000)

    Comment

    Target Species of Antibody: Human

    Restrictions

    For Research Use only
  • Format

    Liquid

    Concentration

    Lot specific

    Buffer

    PBS,  pH 7.3, 1 % BSA, 50 % glycerol, 0.02 % sodium azide

    Preservative

    Sodium azide

    Precaution of Use

    This product contains Sodium azide: a POISONOUS AND HAZARDOUS SUBSTANCE which should be handled by trained staff only.

    Storage

    -20 °C

    Storage Comment

    Store at -20°C. Avoid freeze-thaw cycles.
  • Target

    PMVK (Phosphomevalonate Kinase (PMVK))

    Alternative Name

    PMVK

    Background

    Name/Gene ID: PMVK

    Synonyms: PMVK, PMKA, PMKASE, PMKI, HPMK, HUMPMKI, Phosphomevalonate kinase, PMK

    Gene ID

    10654

    NCBI Accession

    NP_006547
You are here:
Chat with us!