RFPL3 antibody
Quick Overview for RFPL3 antibody (ABIN1500675)
Target
Reactivity
Host
Clonality
Conjugate
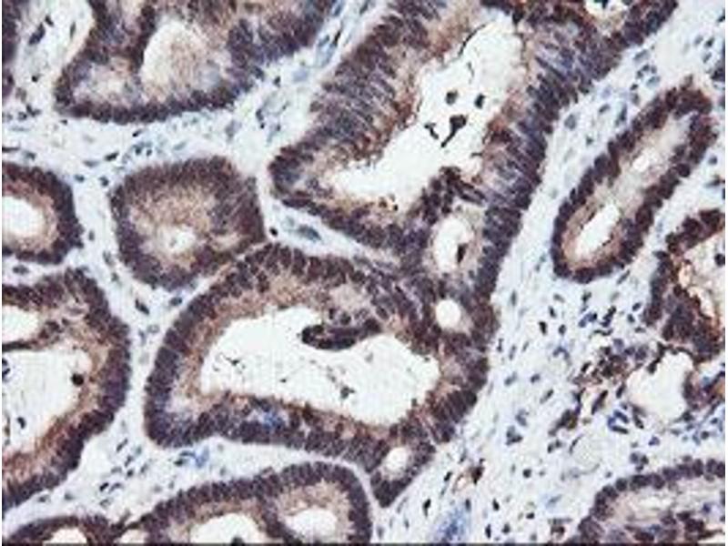
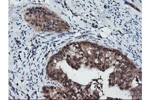
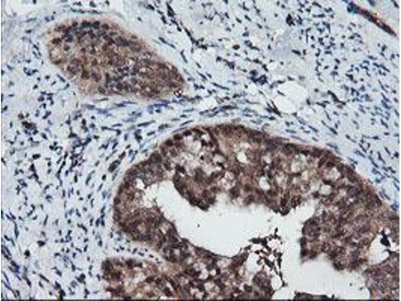
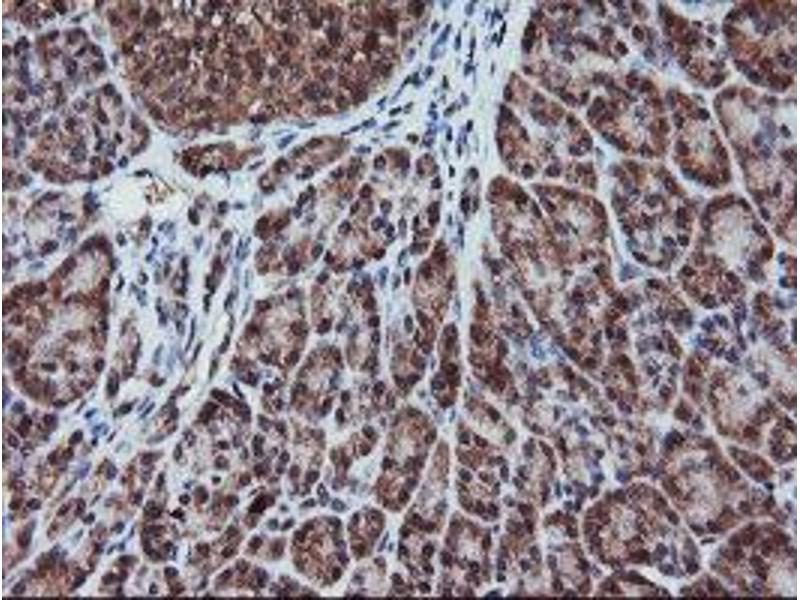
Application
Clone
-
-
Specificity
- Human RFPL3
-
Purification
- Protein A/G purified
-
Immunogen
-
Full length human recombinant protein of human RFPL3(NP_006595) produced in HEK293T cell.
Type of Immunogen: Recombinant protein -
Isotype
- IgG2b
-
-
-
-
Application Notes
- Approved: Flo (1:100), IF (1:100), IHC, IHC-P (1:150), WB (1:2000)
-
Comment
-
Target Species of Antibody: Human
-
Restrictions
- For Research Use only
-
-
-
Format
- Liquid
-
Concentration
- Lot specific
-
Buffer
- PBS, pH 7.3, 1 % BSA, 50 % glycerol, 0.02 % sodium azide
-
Preservative
- Sodium azide
-
Precaution of Use
- This product contains Sodium azide: a POISONOUS AND HAZARDOUS SUBSTANCE which should be handled by trained staff only.
-
Storage
- -20 °C
-
Storage Comment
- Store at -20°C. Avoid freeze-thaw cycles.
-
-
- RFPL3 (Ret Finger Protein-Like 3 (RFPL3))
-
Alternative Name
- RFPL3
-
Background
-
Name/Gene ID: RFPL3
Synonyms: RFPL3, Ret finger protein-like 3 -
Gene ID
- 10738
-
NCBI Accession
- NP_006595
Target
-