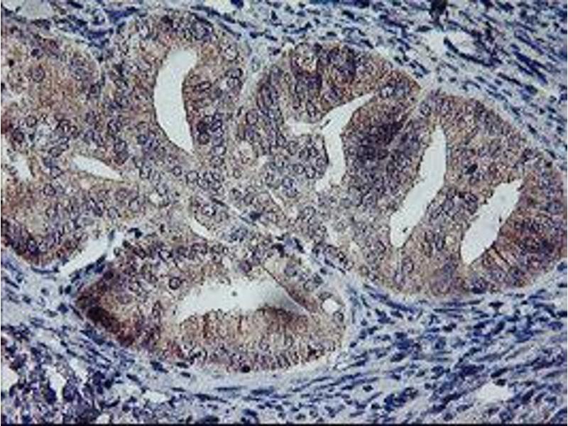
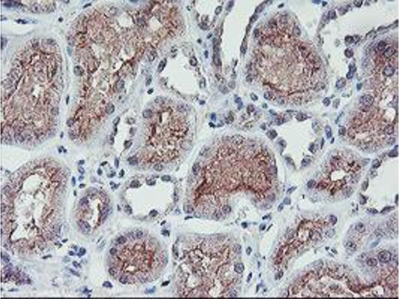
RFXANK antibody
Quick Overview for RFXANK antibody (ABIN1500685)
Target
See all RFXANK AntibodiesReactivity
Host
Clonality
Conjugate
Application
Clone
-
-
Specificity
- Human RFXANK
-
Purification
- Protein A/G purified
-
Immunogen
-
Full length human recombinant protein of human RFXANK(NP_604389) produced in HEK293T cell.
Type of Immunogen: Recombinant protein -
Isotype
- IgG2a
-
-
-
-
Application Notes
- Approved: IHC, IHC-P (1:150), WB (1:2000)
-
Comment
-
Target Species of Antibody: Human
-
Restrictions
- For Research Use only
-
-
-
Format
- Liquid
-
Concentration
- Lot specific
-
Buffer
- PBS, pH 7.3, 1 % BSA, 50 % glycerol, 0.02 % sodium azide
-
Preservative
- Sodium azide
-
Precaution of Use
- This product contains Sodium azide: a POISONOUS AND HAZARDOUS SUBSTANCE which should be handled by trained staff only.
-
Handling Advice
- Minimize freezing and thawing.
-
Storage
- -20 °C
-
Storage Comment
- Store at -20°C. Avoid freeze-thaw cycles.
-
-
- RFXANK (Regulatory Factor X-Associated Ankyrin Containing Protein (RFXANK))
-
Alternative Name
- RFXANK
-
Background
-
Name/Gene ID: RFXANK
Synonyms: RFXANK, ANKRA1, BLS, DNA-binding protein RFXANK, F14150_1, RFXB, RFX-B, Regulatory factor X subunit B, RFX-Bdelta4 -
Gene ID
- 8625
-
NCBI Accession
- NP_604389
-
UniProt
- O14593
Target
-