RGS16 antibody
Quick Overview for RGS16 antibody (ABIN1500688)
Target
See all RGS16 AntibodiesReactivity
Host
Clonality
Conjugate
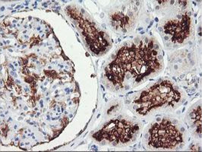
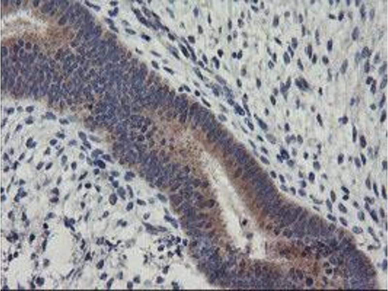
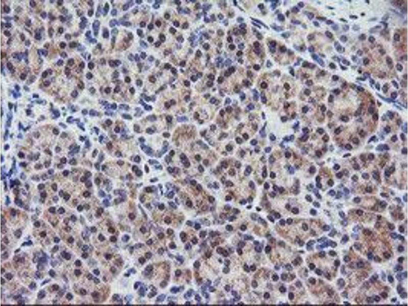
Application
Clone
-
-
Specificity
- Human RGS16
-
Purification
- Protein A/G purified
-
Immunogen
-
Full length human recombinant protein of human RGS16(NP_002919) produced in HEK293T cell.
Type of Immunogen: Recombinant protein -
Isotype
- IgG1
-
-
-
-
Application Notes
- Approved: Flo (1:100), IF (1:100), IHC, IHC-P (1:150), WB (1:500 - 1:2000)
-
Comment
-
Target Species of Antibody: Human
-
Restrictions
- For Research Use only
-
-
-
Format
- Liquid
-
Concentration
- Lot specific
-
Buffer
- PBS, pH 7.3, 1 % BSA, 50 % glycerol, 0.02 % sodium azide
-
Preservative
- Sodium azide
-
Precaution of Use
- This product contains Sodium azide: a POISONOUS AND HAZARDOUS SUBSTANCE which should be handled by trained staff only.
-
Storage
- -20 °C
-
Storage Comment
- Store at -20°C. Avoid freeze-thaw cycles.
-
-
- RGS16 (Regulator of G-Protein Signaling 16 (RGS16))
-
Alternative Name
- RGS16
-
Background
-
Name/Gene ID: RGS16
Family: Regulator of G-protein signalling
Synonyms: RGS16, A28-RGS14, A28-RGS14P, Retinal-specific RGS, RGSR, RGS-R, HRGS-r -
Gene ID
- 6004
-
NCBI Accession
- NP_002919
-
Pathways
- Myometrial Relaxation and Contraction, Regulation of G-Protein Coupled Receptor Protein Signaling
Target
-