Phone:
+1 877 302 8632
Fax:
+1 888 205 9894 (Toll-free)
E-Mail:
orders@antibodies-online.com

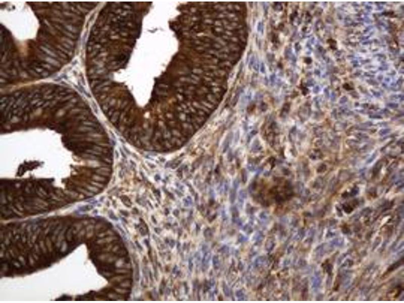
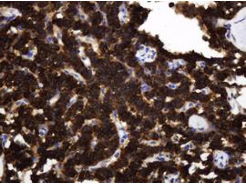
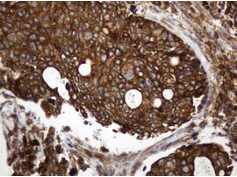
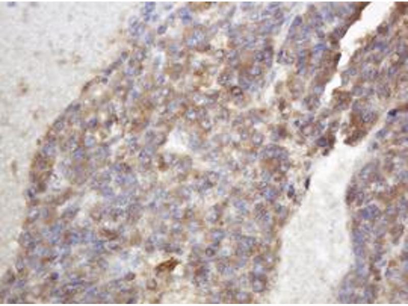
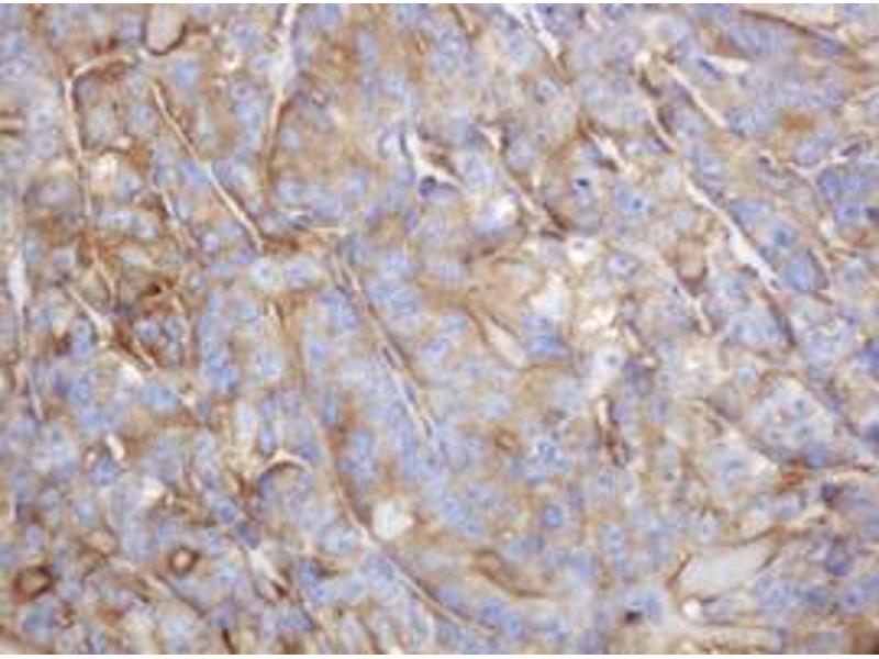
TAPBPL antibody

The Mouse Monoclonal anti-TAPBPL antibody (Clone 3D8) (ABIN1501302) specifically detects TAPBPL in WB, IHC and IHC (p). The antibody is reactive with Human samples.
Catalog No. ABIN1501302
$704.73
Plus shipping costs $50.00
100 μL
Shipping to: United States
Delivery in 11 to 15 Business Days

Quick Overview for TAPBPL antibody (ABIN1501302)

Target

See all TAPBPL Antibodies
TAPBPL (TAP Binding Protein-Like (TAPBPL))

Reactivity

  • 26
  • 4
  • 3
  • 2
  • 2
  • 2
  • 2
  • 1
  • 1
  • 1
  • 1
  • 1
Human

Host

  • 21
  • 6
Mouse

Clonality

  • 22
  • 5
Monoclonal

Conjugate

  • 18
  • 3
  • 2
  • 2
  • 1
  • 1
This TAPBPL antibody is un-conjugated

Application

  • 21
  • 13
  • 3
  • 2
  • 2
  • 1
Western Blotting (WB), Immunohistochemistry (IHC), Immunohistochemistry (Paraffin-embedded Sections) (IHC (p))

Clone

3D8
  • Specificity

    Human TAPBPL

    Purification

    Protein A/G purified

    Immunogen

    Full length human recombinant protein of human TAPBPL(NP_060479) produced in HEK293T cell.

    Type of Immunogen: Recombinant protein

    Isotype

    IgG2a
  • Application Notes

    Approved: IHC, IHC-P (1:150), WB (1:2000)

    Comment

    Target Species of Antibody: Human

    Restrictions

    For Research Use only
  • Format

    Liquid

    Concentration

    Lot specific

    Buffer

    PBS,  pH 7.3, 1 % BSA, 50 % glycerol, 0.02 % sodium azide

    Preservative

    Sodium azide

    Precaution of Use

    This product contains Sodium azide: a POISONOUS AND HAZARDOUS SUBSTANCE which should be handled by trained staff only.

    Handling Advice

    Minimize freezing and thawing.

    Storage

    -20 °C

    Storage Comment

    Store at -20°C. Avoid freeze-thaw cycles.
  • Target

    TAPBPL (TAP Binding Protein-Like (TAPBPL))

    Alternative Name

    TAPBPL / TAPBPR

    Background

    Name/Gene ID: TAPBPL

    Synonyms: TAPBPL, TAP binding protein related, TAPBP-R, TAP binding protein-like, Tapasin-related protein, TAPASIN-R, TAPBPR, TAP-binding protein-like, Tapasin-like

    Gene ID

    55080

    NCBI Accession

    NP_060479

    UniProt

    Q9BX59
You are here:
Chat with us!