Phone:
+1 877 302 8632
Fax:
+1 888 205 9894 (Toll-free)
E-Mail:
orders@antibodies-online.com

THUMPD1 antibody

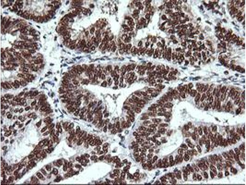
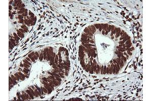
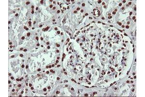
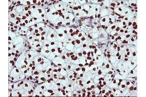
This Mouse Monoclonal antibody specifically detects THUMPD1 in WB, IHC, IHC (p) and IF. It exhibits reactivity toward Human, Mouse and Monkey.
Catalog No. ABIN1501384
$704.73
Plus shipping costs $50.00
100 μL
Shipping to: United States
Delivery in 11 to 15 Business Days

Quick Overview for THUMPD1 antibody (ABIN1501384)

Target

THUMPD1 (THUMP Domain Containing 1 (THUMPD1))

Reactivity

  • 7
  • 2
  • 2
  • 1
  • 1
Human, Mouse, Monkey

Host

  • 5
  • 2
Mouse

Clonality

  • 5
  • 2
Monoclonal

Conjugate

  • 7
This THUMPD1 antibody is un-conjugated

Application

  • 7
  • 4
  • 3
  • 1
  • 1
Western Blotting (WB), Immunohistochemistry (IHC), Immunohistochemistry (Paraffin-embedded Sections) (IHC (p)), Immunofluorescence (IF)

Clone

1H6
  • Specificity

    Human THUMPD1

    Purification

    Protein A/G purified

    Immunogen

    Full length human recombinant protein of human THUMPD1(NP_060206) produced in HEK293T cell.

    Type of Immunogen: Recombinant protein

    Isotype

    IgG1
  • Application Notes

    Approved: IF (1:100), IHC, IHC-P (1:150), WB (1:200 - 1:4000)

    Comment

    Target Species of Antibody: Human

    Restrictions

    For Research Use only
  • Format

    Liquid

    Concentration

    Lot specific

    Buffer

    PBS,  pH 7.3, 1 % BSA, 50 % glycerol, 0.02 % sodium azide

    Preservative

    Sodium azide

    Precaution of Use

    This product contains Sodium azide: a POISONOUS AND HAZARDOUS SUBSTANCE which should be handled by trained staff only.

    Storage

    -20 °C

    Storage Comment

    Store at -20°C. Avoid freeze-thaw cycles.
  • Target

    THUMPD1 (THUMP Domain Containing 1 (THUMPD1))

    Alternative Name

    THUMPD1

    Background

    Name/Gene ID: THUMPD1

    Synonyms: THUMPD1, THUMP domain containing 1

    Gene ID

    55623

    NCBI Accession

    NP_060206
You are here:
Chat with us!