STING/TMEM173 antibody
Quick Overview for STING/TMEM173 antibody (ABIN1501428)
Target
See all STING/TMEM173 (TMEM173) AntibodiesReactivity
Host
Clonality
Conjugate
Application
Clone
-
-
Specificity
- Human TMEM173 / STING
-
Purification
- Protein A/G purified
-
Immunogen
-
Full length human recombinant protein of human TMEM173(NP_938023) produced in HEK293T cell.
Type of Immunogen: Recombinant protein -
Isotype
- IgG2a
-
-
-
-
Application Notes
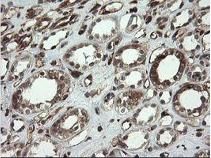
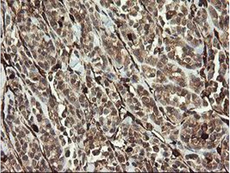
- Approved: IHC, IHC-P (1:150), WB (1:2000)
-
Comment
-
Target Species of Antibody: Human
-
Restrictions
- For Research Use only
-
-
-
Format
- Liquid
-
Concentration
- Lot specific
-
Buffer
- PBS, pH 7.3, 1 % BSA, 50 % glycerol, 0.02 % sodium azide
-
Preservative
- Sodium azide
-
Precaution of Use
- This product contains Sodium azide: a POISONOUS AND HAZARDOUS SUBSTANCE which should be handled by trained staff only.
-
Handling Advice
- Minimize freezing and thawing.
-
Storage
- -20 °C
-
Storage Comment
- Store at -20°C. Avoid freeze-thaw cycles.
-
-
- STING/TMEM173 (TMEM173) (Transmembrane Protein 173 (TMEM173))
-
Alternative Name
- TMEM173 / STING
-
Background
-
Name/Gene ID: TMEM173
Synonyms: TMEM173, ERIS, MITA, HSTING, Transmembrane protein 173, HMITA, Mediator of IRF3 activation, MPYS, NET23, STING -
Gene ID
- 340061
-
NCBI Accession
- NP_938023
-
UniProt
- Q86WV6
-
Pathways
- Activation of Innate immune Response
Target
-