TULP3 antibody
Quick Overview for TULP3 antibody (ABIN1501586)
Target
See all TULP3 AntibodiesReactivity
Host
Clonality
Conjugate
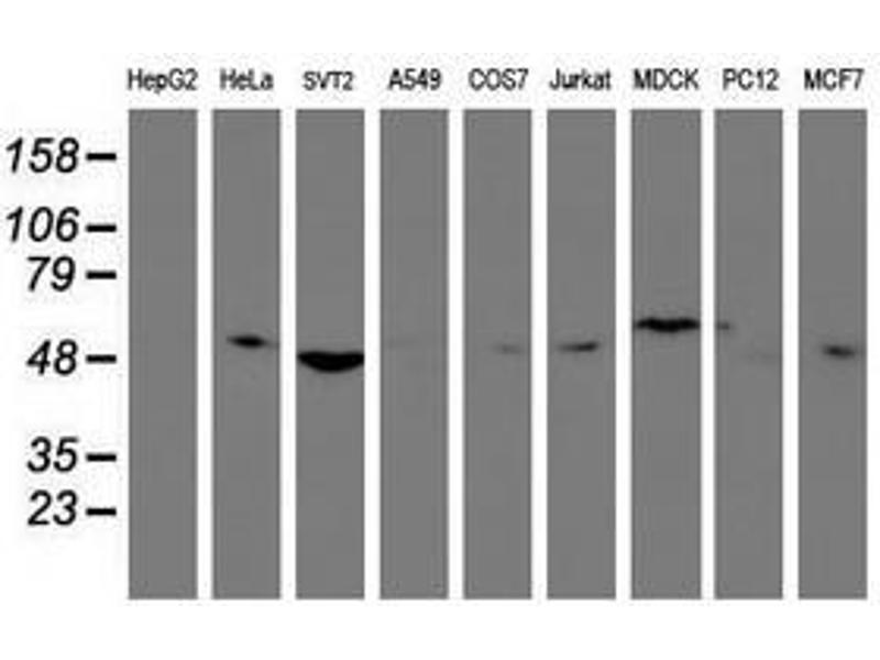
Application
Clone
-
-
Specificity
- Human TULP3
-
Purification
- Protein A/G purified
-
Immunogen
-
Full length human recombinant protein of human TULP3(NP_003315) produced in HEK293T cell.
Type of Immunogen: Recombinant protein -
Isotype
- IgG1
-
-
-
-
Application Notes
- Approved: WB (1:500 - 1:2000)
-
Comment
-
Target Species of Antibody: Human
-
Restrictions
- For Research Use only
-
-
-
Format
- Liquid
-
Concentration
- Lot specific
-
Buffer
- PBS, pH 7.3, 1 % BSA, 50 % glycerol, 0.02 % sodium azide
-
Preservative
- Sodium azide
-
Precaution of Use
- This product contains Sodium azide: a POISONOUS AND HAZARDOUS SUBSTANCE which should be handled by trained staff only.
-
Storage
- -20 °C
-
Storage Comment
- Store at -20°C. Avoid freeze-thaw cycles.
-
-
- TULP3 (Tubby Like Protein 3 (TULP3))
-
Alternative Name
- TULP3
-
Background
-
Name/Gene ID: TULP3
Synonyms: TULP3, Tubby-related protein 3, TUBL3, Tubby like protein 3, Tubby-like protein 3 -
Gene ID
- 7289
-
NCBI Accession
- NP_003315
-
Pathways
- Regulation of G-Protein Coupled Receptor Protein Signaling, Tube Formation
Target
-