Phone:
+1 877 302 8632
Fax:
+1 888 205 9894 (Toll-free)
E-Mail:
orders@antibodies-online.com

VBP1 antibody

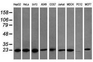
The Mouse Monoclonal anti-VBP1 antibody (Clone 1G3) (ABIN1501707) specifically detects VBP1 in WB, IHC and IHC (p). The antibody is reactive with Human, Mouse, Rat, Dog and Monkey samples.
Catalog No. ABIN1501707
$704.73
Plus shipping costs $50.00
100 μL
Shipping to: United States
Delivery in 11 to 15 Business Days

Quick Overview for VBP1 antibody (ABIN1501707)

Target

See all VBP1 (PFDN3) Antibodies
VBP1 (PFDN3) (Prefoldin Subunit 3 (PFDN3))

Reactivity

  • 35
  • 22
  • 5
  • 5
  • 3
  • 2
  • 2
  • 2
  • 1
  • 1
Human, Mouse, Rat, Dog, Monkey

Host

  • 25
  • 10
Mouse

Clonality

  • 27
  • 8
Monoclonal

Conjugate

  • 21
  • 1
  • 1
  • 1
  • 1
  • 1
  • 1
  • 1
  • 1
  • 1
  • 1
  • 1
  • 1
  • 1
  • 1
This VBP1 antibody is un-conjugated

Application

  • 32
  • 13
  • 13
  • 9
  • 6
  • 5
  • 5
  • 3
  • 3
  • 2
  • 1
  • 1
Western Blotting (WB), Immunohistochemistry (IHC), Immunohistochemistry (Paraffin-embedded Sections) (IHC (p))

Clone

1G3
  • Specificity

    Human VBP1

    Purification

    Protein A/G purified

    Immunogen

    Full length human recombinant protein of human VBP1(NP_003363) produced in HEK293T cell.

    Type of Immunogen: Recombinant protein

    Isotype

    IgG2a
  • Application Notes

    Approved: IHC, IHC-P (1:150), WB (1:500 - 1:2000)

    Comment

    Target Species of Antibody: Human

    Restrictions

    For Research Use only
  • Format

    Liquid

    Concentration

    Lot specific

    Buffer

    PBS,  pH 7.3, 1 % BSA, 50 % glycerol, 0.02 % sodium azide

    Preservative

    Sodium azide

    Precaution of Use

    This product contains Sodium azide: a POISONOUS AND HAZARDOUS SUBSTANCE which should be handled by trained staff only.

    Handling Advice

    Minimize freezing and thawing.

    Storage

    -20 °C

    Storage Comment

    Store at -20°C. Avoid freeze-thaw cycles.
  • Target

    VBP1 (PFDN3) (Prefoldin Subunit 3 (PFDN3))

    Alternative Name

    VBP1

    Background

    Name/Gene ID: VBP1

    Synonyms: VBP1, HIBBJ46, PFDN3, Prefoldin 3, VBP-1, VHL-binding protein 1, VHL binding protein-1, PFD3, Prefoldin subunit 3

    Gene ID

    7411

    NCBI Accession

    NP_003363

    UniProt

    P61758

    Pathways

    Unfolded Protein Response
You are here:
Chat with us!