Phone:
+1 877 302 8632
Fax:
+1 888 205 9894 (Toll-free)
E-Mail:
orders@antibodies-online.com

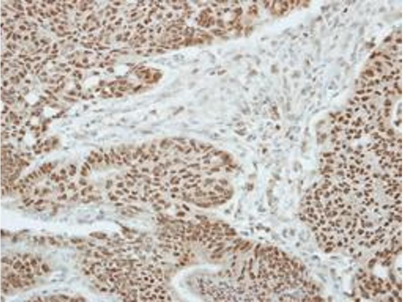
ZBTB9 antibody (AA 1-206)

This Rabbit Polyclonal antibody specifically detects ZBTB9 in WB, IHC and IHC (p). It exhibits reactivity toward Human.
Catalog No. ABIN1501798
$728.20
Plus shipping costs $50.00
100 μL
Shipping to: United States
Delivery in 11 to 15 Business Days

Quick Overview for ZBTB9 antibody (AA 1-206) (ABIN1501798)

Target

See all ZBTB9 Antibodies
ZBTB9 (Zinc Finger and BTB Domain Containing 9 (ZBTB9))

Reactivity

  • 16
  • 10
  • 6
  • 6
  • 6
  • 5
  • 5
  • 4
  • 3
  • 2
  • 2
Human

Host

  • 15
  • 1
Rabbit

Clonality

  • 16
Polyclonal

Conjugate

  • 16
This ZBTB9 antibody is un-conjugated

Application

  • 14
  • 4
  • 4
  • 3
  • 2
  • 1
  • 1
Western Blotting (WB), Immunohistochemistry (IHC), Immunohistochemistry (Paraffin-embedded Sections) (IHC (p))
  • Binding Specificity

    • 6
    • 3
    • 2
    • 1
    • 1
    AA 1-206

    Specificity

    Human ZBTB9

    Predicted Reactivity

    Percent identity by BLAST analysis: Human (100%) Bovine, Mouse (86%) Rat (82%).

    Purification

    Immunoaffinity purified

    Immunogen

    Recombinant protein fragment contain a sequence corresponding to a region within amino acids 1 and 206 (Q96C00) of ZBTB9. Percent identity by BLAST analysis: Human (100%), Bovine, Mouse (86%), Rat (82%).

    Type of Immunogen: Recombinant protein

    Isotype

    IgG
  • Application Notes

    Approved: IHC, IHC-P (1:100 - 1:1000), WB (1:500 - 1:3000)

    Usage: Suggested starting dilutions are as follows: Western blot: 1:500-1:3000, IHC-Paraffin: 1:100-1:1000 [suggested antigen retrieval using heat mediated 10 mM Citrate buffer (  pH 6.0) or Tris-EDTA buffer (  pH 8.0)]. Not yet tested in other applications. Optimal working dilutions should be determined experimentally by the end user.

    Comment

    Target Species of Antibody: Human

    Restrictions

    For Research Use only
  • Format

    Liquid

    Concentration

    Lot specific

    Buffer

    0.1 M Tris-glycine,  pH 7, 20 % Glycerol, 0.01 % Thimerosal

    Preservative

    Thimerosal (Merthiolate)

    Precaution of Use

    This product contains Thimerosal (Merthiolate): a POISONOUS AND HAZARDOUS SUBSTANCE which should be handled by trained staff only.

    Handling Advice

    Avoid freeze-thaw cycles.

    Storage

    -20 °C

    Storage Comment

    Aliquot and freeze at -20°C. Avoid freeze-thaw cycles.
  • Target

    ZBTB9 (Zinc Finger and BTB Domain Containing 9 (ZBTB9))

    Alternative Name

    ZBTB9

    Background

    Name/Gene ID: ZBTB9
    Family: Zinc Finger

    Synonyms: ZBTB9, ZNF919

    Gene ID

    221504

    UniProt

    Q96C00
You are here:
Chat with us!