ZSCAN18 antibody
Quick Overview for ZSCAN18 antibody (ABIN1501861)
Target
See all ZSCAN18 AntibodiesReactivity
Host
Clonality
Conjugate
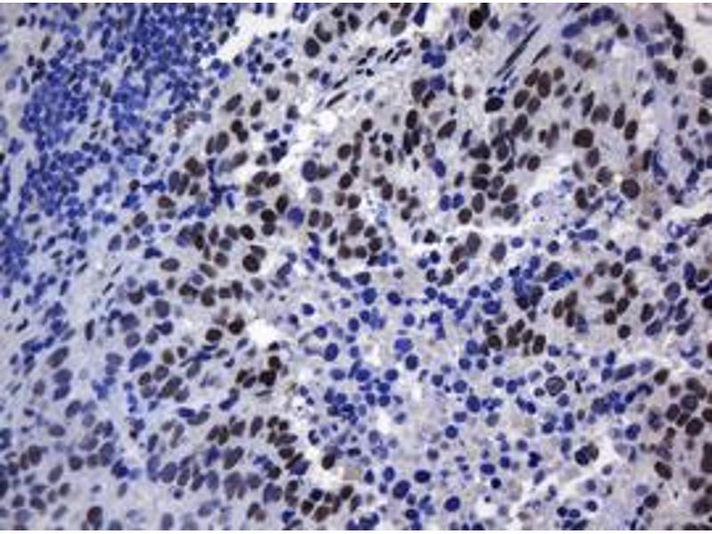
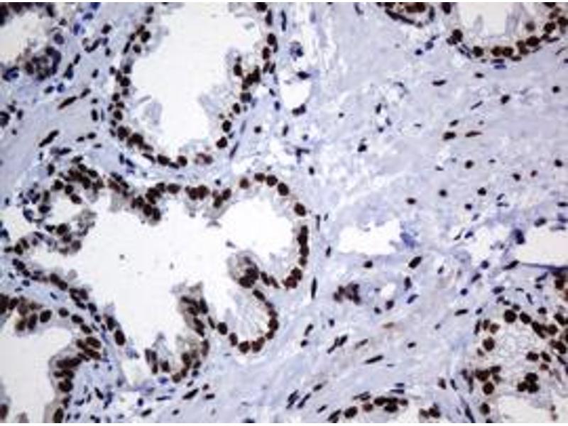
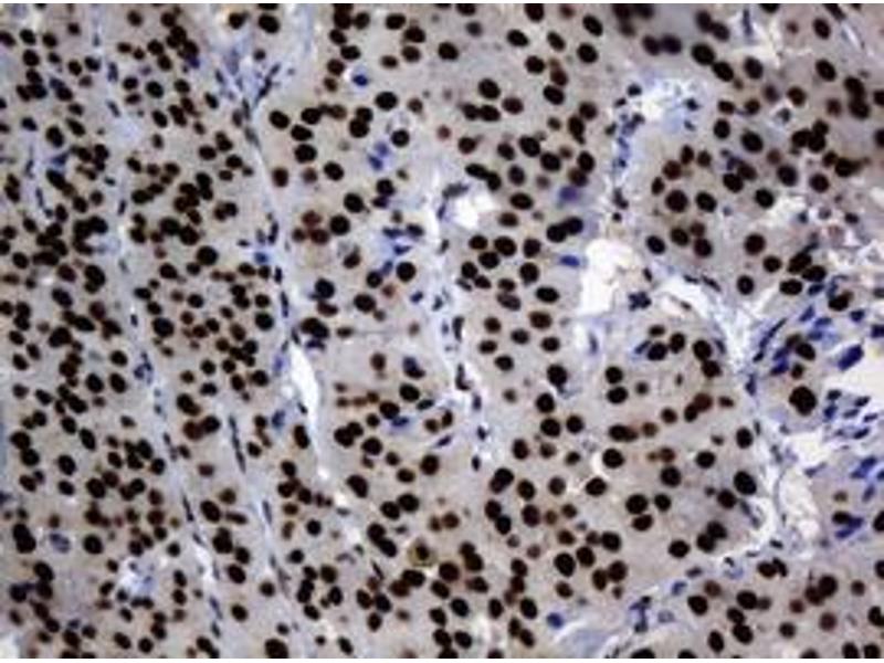
Application
Clone
-
-
Specificity
- Human ZSCAN18 / ZNF447
-
Purification
- Protein A/G purified
-
Immunogen
-
Full length human recombinant protein of human ZSCAN18(NP_076415) produced in HEK293T cell.
Type of Immunogen: Recombinant protein -
Isotype
- IgG2b
-
-
-
-
Application Notes
- Approved: IHC, IHC-P (1:150), WB (1:4000)
-
Comment
-
Target Species of Antibody: Human
-
Restrictions
- For Research Use only
-
-
-
Format
- Liquid
-
Concentration
- Lot specific
-
Buffer
- PBS, pH 7.3, 1 % BSA, 50 % glycerol, 0.02 % sodium azide
-
Preservative
- Sodium azide
-
Precaution of Use
- This product contains Sodium azide: a POISONOUS AND HAZARDOUS SUBSTANCE which should be handled by trained staff only.
-
Storage
- -20 °C
-
Storage Comment
- Store at -20°C. Avoid freeze-thaw cycles.
-
-
- ZSCAN18 (Zinc Finger and SCAN Domain Containing 18 (ZSCAN18))
-
Alternative Name
- ZSCAN18 / ZNF447
-
Background
-
Name/Gene ID: ZSCAN18
Family: Zinc Finger
Synonyms: ZSCAN18, Zinc finger protein 447, ZNF447 -
Gene ID
- 65982
-
NCBI Accession
- NP_076415
Target
-