Phone:
+1 877 302 8632
Fax:
+1 888 205 9894 (Toll-free)
E-Mail:
orders@antibodies-online.com

Acetyl-CoA Carboxylase antibody (pSer80)

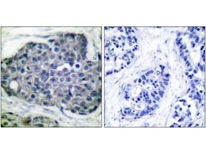
The Rabbit Polyclonal anti-Acetyl-CoA Carboxylase antibody (ABIN1531208) specifically detects Acetyl-CoA Carboxylase in WB, IHC and ELISA. The antibody is reactive with Human, Rat and Mouse samples.
Catalog No. ABIN1531208
$341.00
Plus shipping costs $50.00
Shipping to: United States
Delivery in 2 to 4 Business Days

Quick Overview for Acetyl-CoA Carboxylase antibody (pSer80) (ABIN1531208)

Target

See all Acetyl-CoA Carboxylase Antibodies
Acetyl-CoA Carboxylase

Reactivity

  • 40
  • 29
  • 27
  • 1
Human, Rat, Mouse

Host

  • 41
  • 2
  • 1
Rabbit

Clonality

  • 22
  • 22
Polyclonal

Conjugate

  • 11
  • 3
  • 2
  • 2
  • 2
  • 2
  • 2
  • 2
  • 2
  • 2
  • 1
  • 1
  • 1
  • 1
  • 1
  • 1
  • 1
  • 1
  • 1
  • 1
  • 1
  • 1
  • 1
  • 1
This Acetyl-CoA Carboxylase antibody is un-conjugated

Application

  • 43
  • 22
  • 15
  • 15
  • 14
  • 10
  • 5
  • 5
  • 4
  • 2
  • 1
Western Blotting (WB), Immunohistochemistry (IHC), ELISA
  • Binding Specificity

    • 16
    • 5
    • 1
    • 1
    • 1
    AA 46-95, pSer80

    Specificity

    Acetyl-CoA Carboxylase (Phospho-Ser80) Antibody detects endogenous levels of Acetyl-CoA Carboxylase only when phosphorylated at Ser80.

    PhosphorylationH:S80 M:S79 R:S79

    Purification

    The antibody was purified from rabbit antiserum by affinity-chromatography using phospho peptide. The antibody against non-phospho peptide was removed by chromatography using corresponding non-phospho peptide.

    Purity

    > 95 %

    Immunogen

    The antiserum was produced against synthesized peptide derived from human Acetyl-CoA Carboxylase around the phosphorylation site of Ser80.

    Isotype

    IgG
  • Application Notes

    WB: 1:500~1:1000 IHC: 1:50~1:100 ELISA: 1:1000

    Comment

    Unigene-Number: Hs.160556 (NCBI Gene Symbol: ACACA)

    Restrictions

    For Research Use only
  • Format

    Liquid

    Concentration

    1 mg/mL

    Buffer

    phosphate buffered saline (without Mg2+ and Ca2+), pH 7.4, 150 mM NaCl, 0.02 % sodium azide and 50 % glycerol.

    Preservative

    Sodium azide

    Precaution of Use

    This product contains sodium azide: a POISONOUS AND HAZARDOUS SUBSTANCE which should be handled by trained staff only.

    Storage

    -20 °C

    Storage Comment

    Stable at -20°C for at least 1 year.

    Expiry Date

    12 months
  • Target

    Acetyl-CoA Carboxylase

    Background

    Synonyms: ACAC, ACACA, ACC-alpha, ACCA, Acetyl-CoA carboxylase 1,

    NCBI Gene Symbol: ACACA

    Molecular Weight

    265 kDa

    Gene ID

    31

    OMIM

    200350

    UniProt

    Q13085
You are here:
Chat with us!