Phone:
+1 877 302 8632
Fax:
+1 888 205 9894 (Toll-free)
E-Mail:
orders@antibodies-online.com

PEA15 antibody (pSer116)

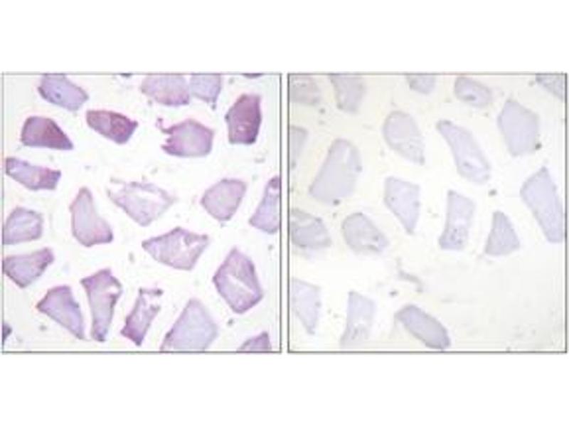
The Rabbit Polyclonal anti-PEA15 antibody (ABIN1531370) specifically detects PEA15 in WB, ELISA and IHC. The antibody is reactive with Human, Mouse and Rat samples.
Catalog No. ABIN1531370
$341.00
Plus shipping costs $50.00
Shipping to: United States
Delivery in 2 to 4 Business Days

Quick Overview for PEA15 antibody (pSer116) (ABIN1531370)

Target

See all PEA15 Antibodies
PEA15 (phosphoprotein Enriched in Astrocytes 15 (PEA15))

Reactivity

  • 69
  • 40
  • 27
  • 10
  • 4
  • 4
  • 4
  • 4
  • 4
  • 3
  • 2
  • 2
  • 2
  • 2
Human, Mouse, Rat

Host

  • 69
  • 2
Rabbit

Clonality

  • 71
Polyclonal

Conjugate

  • 38
  • 4
  • 2
  • 2
  • 2
  • 2
  • 2
  • 2
  • 2
  • 2
  • 1
  • 1
  • 1
  • 1
  • 1
  • 1
  • 1
  • 1
  • 1
  • 1
  • 1
  • 1
  • 1
This PEA15 antibody is un-conjugated

Application

  • 38
  • 32
  • 22
  • 15
  • 15
  • 12
  • 9
  • 5
  • 3
  • 2
  • 2
  • 1
Western Blotting (WB), ELISA, Immunohistochemistry (IHC)
  • Binding Specificity

    • 15
    • 13
    • 12
    • 8
    • 8
    • 2
    • 2
    • 2
    • 1
    • 1
    • 1
    • 1
    • 1
    • 1
    • 1
    • 1
    • 1
    • 1
    AA 81-130, pSer116

    Specificity

    PEA-15 (Phospho-Ser116) Antibody detects endogenous levels of PEA-15 only when phosphorylated at Ser116.

    PhosphorylationH:S116 M:S116 R:S116

    Purification

    The antibody was purified from rabbit antiserum by affinity-chromatography using phospho peptide. The antibody against non-phospho peptide was removed by chromatography using corresponding non-phospho peptide.

    Purity

    > 95 %

    Immunogen

    The antiserum was produced against synthesized peptide derived from human PEA-15 around the phosphorylation site of Ser116.

    Isotype

    IgG
  • Application Notes

    WB: 1:500~1:1000 IHC: 1:50~1:100 ELISA: 1:1000

    Comment

    Unigene-Number: Hs.517216 (NCBI Gene Symbol: PEA15)

    Restrictions

    For Research Use only
  • Format

    Liquid

    Concentration

    1 mg/mL

    Buffer

    phosphate buffered saline (without Mg2+ and Ca2+), pH 7.4, 150 mM NaCl, 0.02 % sodium azide and 50 % glycerol.

    Preservative

    Sodium azide

    Precaution of Use

    This product contains sodium azide: a POISONOUS AND HAZARDOUS SUBSTANCE which should be handled by trained staff only.

    Storage

    -20 °C

    Storage Comment

    Stable at -20°C for at least 1 year.

    Expiry Date

    12 months
  • Target

    PEA15 (phosphoprotein Enriched in Astrocytes 15 (PEA15))

    Alternative Name

    PEA-15

    Background

    Synonyms: Astrocytic phosphoprotein PEA-15, PE15, PEA15, PED, Phosphoprotein enriched in diabetes

    NCBI Gene Symbol: PEA15

    Molecular Weight

    15 kDa

    Gene ID

    8682

    OMIM

    603434

    UniProt

    Q15121
You are here:
Chat with us!