PKC alpha antibody (pThr638)
Quick Overview for PKC alpha antibody (pThr638) (ABIN1531462)
Target
See all PKC alpha (PKCa) AntibodiesReactivity
Host
Clonality
Conjugate
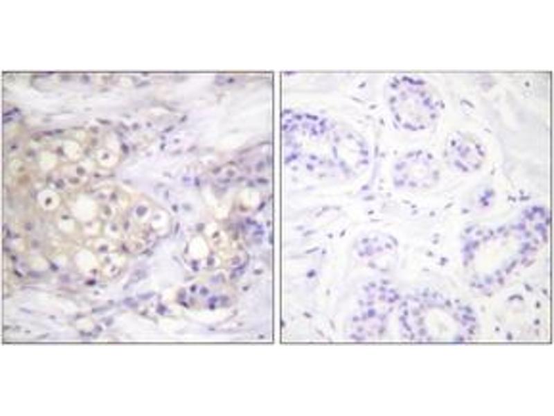
Application
-
-
Binding Specificity
- AA 606-655, pThr638
-
Specificity
-
PKC alpha (Phospho-Thr638) Antibody detects endogenous levels of PKC alpha only when phosphorylated at Thr638.
PhosphorylationH:T638 M:T638 R:T638
-
Purification
- The antibody was purified from rabbit antiserum by affinity-chromatography using phospho peptide. The antibody against non-phospho peptide was removed by chromatography using corresponding non-phospho peptide.
-
Purity
- > 95 %
-
Immunogen
- The antiserum was produced against synthesized peptide derived from human PKC alpha around the phosphorylation site of Thr638.
-
Isotype
- IgG
-
-
-
-
Application Notes
- WB: 1:500~1:1000 IHC: 1:50~1:100 ELISA: 1:20000
-
Comment
-
Unigene-Number: Hs.531704, Hs.708867 (NCBI Gene Symbol: PRKCA)
-
Restrictions
- For Research Use only
-
-
-
Format
- Liquid
-
Concentration
- 1 mg/mL
-
Buffer
- phosphate buffered saline (without Mg2+ and Ca2+), pH 7.4, 150 mM NaCl, 0.02 % sodium azide and 50 % glycerol.
-
Preservative
- Sodium azide
-
Precaution of Use
- This product contains sodium azide: a POISONOUS AND HAZARDOUS SUBSTANCE which should be handled by trained staff only.
-
Storage
- -20 °C
-
Storage Comment
- Stable at -20°C for at least 1 year.
-
Expiry Date
- 12 months
-
-
-
: "Syndecan-4 Promotes Epithelial Tumor Cells Spreading and Regulates the Turnover of PKC? Activity under Mechanical Stimulation on the Elastomeric Substrates." in: Cellular physiology and biochemistry : international journal of experimental cellular physiology, biochemistry, and pharmacology, Vol. 36, Issue 4, pp. 1291-1304, (2015) (PubMed).
-
-
- PKC alpha (PKCa) (Protein Kinase C, alpha (PKCa))
-
Alternative Name
- PKC alpha
-
Background
-
Synonyms: kinase PKC-alpha, KPCA, PKC III, PKC-A, PKC-alpha, PKC-III, PRKACA, PRKCA, Protein kinase C, alpha type
NCBI Gene Symbol: PRKCA
-
Molecular Weight
- 76 kDa
-
Gene ID
- 5578
-
OMIM
- 176960
-
UniProt
- P17252
-
Pathways
- WNT Signaling, TCR Signaling, EGFR Signaling Pathway, Neurotrophin Signaling Pathway, Thyroid Hormone Synthesis, cAMP Metabolic Process, Myometrial Relaxation and Contraction, Cell-Cell Junction Organization, Regulation of G-Protein Coupled Receptor Protein Signaling, G-protein mediated Events, Signaling Events mediated by VEGFR1 and VEGFR2, Interaction of EGFR with phospholipase C-gamma, Thromboxane A2 Receptor Signaling, VEGFR1 Specific Signals, VEGF Signaling
Target
-