Phone:
+1 877 302 8632
Fax:
+1 888 205 9894 (Toll-free)
E-Mail:
orders@antibodies-online.com

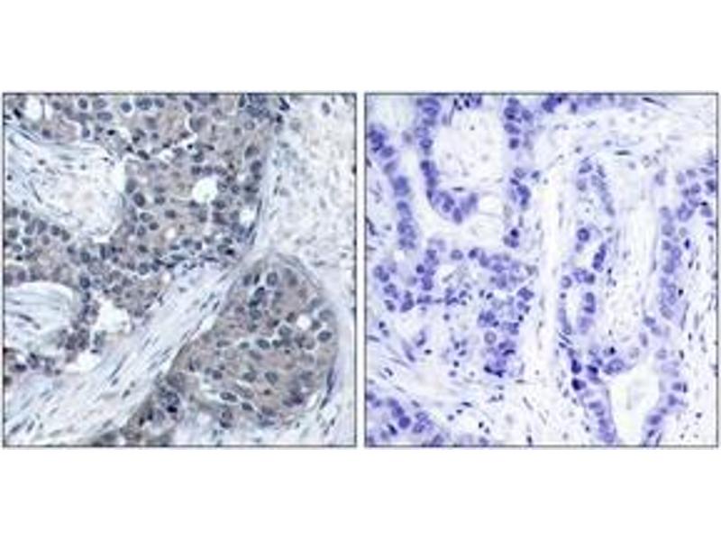
EIF4E antibody (pSer209)

This Rabbit Polyclonal antibody specifically detects EIF4E in WB, IHC and ELISA. It exhibits reactivity toward Human, Rat and Mouse.
Catalog No. ABIN1531825
$341.00
Plus shipping costs $50.00
Shipping to: United States
Delivery in 2 to 4 Business Days

Quick Overview for EIF4E antibody (pSer209) (ABIN1531825)

Target

See all EIF4E Antibodies
EIF4E (Eukaryotic Translation Initiation Factor 4E (EIF4E))

Reactivity

  • 149
  • 92
  • 80
  • 20
  • 5
  • 5
  • 4
  • 3
  • 3
  • 2
  • 2
  • 2
  • 2
Human, Rat, Mouse

Host

  • 131
  • 18
  • 2
Rabbit

Clonality

  • 99
  • 52
Polyclonal

Conjugate

  • 65
  • 11
  • 8
  • 6
  • 5
  • 4
  • 4
  • 4
  • 4
  • 4
  • 4
  • 4
  • 3
  • 3
  • 2
  • 2
  • 2
  • 2
  • 2
  • 2
  • 2
  • 2
  • 2
  • 2
  • 2
This EIF4E antibody is un-conjugated

Application

  • 130
  • 70
  • 50
  • 40
  • 37
  • 34
  • 33
  • 27
  • 26
  • 15
  • 7
  • 6
  • 2
Western Blotting (WB), Immunohistochemistry (IHC), ELISA
  • Binding Specificity

    • 53
    • 15
    • 8
    • 7
    • 6
    • 4
    • 4
    • 3
    • 2
    • 2
    • 2
    • 1
    • 1
    • 1
    • 1
    • 1
    • 1
    AA 168-217, pSer209

    Specificity

    eIF4E (Phospho-Ser209) Antibody detects endogenous levels of eIF4E only when phosphorylated at Ser209.

    PhosphorylationH:S209 M:S209 R:S209

    Purification

    The antibody was purified from rabbit antiserum by affinity-chromatography using phospho peptide. The antibody against non-phospho peptide was removed by chromatography using corresponding non-phospho peptide.

    Purity

    > 95 %

    Immunogen

    The antiserum was produced against synthesized peptide derived from human eIF4E around the phosphorylation site of Ser209.

    Isotype

    IgG
  • Application Notes

    WB: 1:500~1:1000 IHC: 1:50~1:100 ELISA: 1:20000

    Comment

    Unigene-Number: Hs.249718 (NCBI Gene Symbol: EIF4E)

    Restrictions

    For Research Use only
  • Format

    Liquid

    Concentration

    1 mg/mL

    Buffer

    phosphate buffered saline (without Mg2+ and Ca2+), pH 7.4, 150 mM NaCl, 0.02 % sodium azide and 50 % glycerol.

    Preservative

    Sodium azide

    Precaution of Use

    This product contains sodium azide: a POISONOUS AND HAZARDOUS SUBSTANCE which should be handled by trained staff only.

    Storage

    -20 °C

    Storage Comment

    Stable at -20°C for at least 1 year.

    Expiry Date

    12 months
  • Target

    EIF4E (Eukaryotic Translation Initiation Factor 4E (EIF4E))

    Alternative Name

    eIF4E

    Background

    Synonyms: Eukaryotic translation initiation factor 4E, eIF-4E, eIF4E, mRNA cap-binding protein, eIF-4F 25 kDa subunit, EIF4E, EIF4EL1, EIF4F

    NCBI Gene Symbol: EIF4E

    Molecular Weight

    25 kDa

    Gene ID

    1977

    OMIM

    133440

    UniProt

    P06730

    Pathways

    BCR Signaling
You are here:
Chat with us!