Phone:
+1 877 302 8632
Fax:
+1 888 205 9894 (Toll-free)
E-Mail:
orders@antibodies-online.com

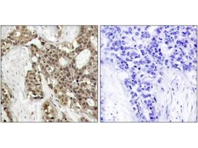
ERK1/2 antibody (pTyr204)

The Rabbit Polyclonal anti-ERK1/2 antibody is suitable to detect ERK1/2 in samples from Human, Mouse and Rat. It has been validated for WB, IHC and ELISA.
Catalog No. ABIN1531832
$341.00
Plus shipping costs $50.00
Shipping to: United States
Delivery in 2 to 4 Business Days

Quick Overview for ERK1/2 antibody (pTyr204) (ABIN1531832)

Target

See all ERK1/2 (MAPK1/3) Antibodies
ERK1/2 (MAPK1/3) (Mitogen-Activated Protein Kinase 1/3 (MAPK1/3))

Reactivity

  • 213
  • 182
  • 176
  • 21
  • 21
  • 18
  • 6
  • 2
  • 2
  • 2
  • 2
  • 2
  • 1
  • 1
  • 1
  • 1
  • 1
  • 1
  • 1
Human, Mouse, Rat

Host

  • 175
  • 41
  • 3
Rabbit

Clonality

  • 132
  • 87
Polyclonal

Conjugate

  • 81
  • 13
  • 8
  • 8
  • 8
  • 8
  • 8
  • 8
  • 6
  • 5
  • 5
  • 5
  • 5
  • 5
  • 5
  • 5
  • 5
  • 5
  • 5
  • 5
  • 4
  • 4
  • 4
  • 2
  • 1
  • 1
This ERK1/2 antibody is un-conjugated

Application

  • 172
  • 66
  • 59
  • 51
  • 51
  • 41
  • 41
  • 39
  • 36
  • 32
  • 13
  • 3
  • 3
Western Blotting (WB), Immunohistochemistry (IHC), ELISA
  • Binding Specificity

    • 66
    • 44
    • 30
    • 30
    • 21
    • 16
    • 13
    • 13
    • 10
    • 4
    • 4
    • 3
    • 3
    • 3
    • 2
    • 2
    • 2
    • 2
    • 1
    • 1
    • 1
    • 1
    • 1
    • 1
    • 1
    • 1
    • 1
    • 1
    • 1
    • 1
    • 1
    • 1
    • 1
    AA 170-219, pTyr204

    Specificity

    p44/42 MAP Kinase (Phospho-Tyr204) Antibody detects endogenous levels of p44/42 MAP Kinase only when phosphorylated at Tyr204.

    PhosphorylationH:Y204/187 M:Y205/185 R:Y205/185

    Purification

    The antibody was purified from rabbit antiserum by affinity-chromatography using phospho peptide. The antibody against non-phospho peptide was removed by chromatography using corresponding non-phospho peptide.

    Purity

    > 95 %

    Immunogen

    The antiserum was produced against synthesized peptide derived from human p44/42 MAP Kinase around the phosphorylation site of Tyr204.

    Isotype

    IgG
  • Application Notes

    WB: 1:500~1:1000 IHC: 1:50~1:100 ELISA: 1:10000

    Comment

    Unigene-Number: Hs.861, Hs.431850 (NCBI Gene Symbol: MAPK3)

    Restrictions

    For Research Use only
  • Format

    Liquid

    Concentration

    1 mg/mL

    Buffer

    phosphate buffered saline (without Mg2+ and Ca2+), pH 7.4, 150 mM NaCl, 0.02 % sodium azide and 50 % glycerol.

    Preservative

    Sodium azide

    Precaution of Use

    This product contains sodium azide: a POISONOUS AND HAZARDOUS SUBSTANCE which should be handled by trained staff only.

    Storage

    -20 °C

    Storage Comment

    Stable at -20°C for at least 1 year.

    Expiry Date

    12 months
  • Target

    ERK1/2 (MAPK1/3) (Mitogen-Activated Protein Kinase 1/3 (MAPK1/3))

    Alternative Name

    p44/42 MAP Kinase

    Background

    Synonyms: ERK-1, ERK1, ERT2, Extracellular signal- regulated kinase 1, Insulin-stimulated MAP2 kinase, kinase ERK1, MAP kinase 1, MAPK 1, MAPK3, Microtubule- associated protein-2 kinase, Mitogen-activated protein kinase 3, MK03, MNK1, p44-ERK1, P44-ERK1, p44-MAPK,

    NCBI Gene Symbol: MAPK3

    Molecular Weight

    43 kDa

    Gene ID

    5595, 5594

    OMIM

    601795

    UniProt

    P27361, P28482
You are here:
Chat with us!