Phone:
+1 877 302 8632
Fax:
+1 888 205 9894 (Toll-free)
E-Mail:
orders@antibodies-online.com

LIM Domain Kinase 1 antibody (pThr508)

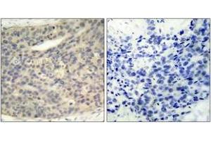
The Rabbit Polyclonal anti-LIM Domain Kinase 1 antibody (ABIN1531896) specifically detects LIM Domain Kinase 1 in WB, ELISA and IHC. The antibody is reactive with Human, Mouse and Rat samples.
Catalog No. ABIN1531896
$341.00
Plus shipping costs $50.00
Shipping to: United States
Delivery in 2 to 4 Business Days

Quick Overview for LIM Domain Kinase 1 antibody (pThr508) (ABIN1531896)

Target

See all LIM Domain Kinase 1 (LIMK1) Antibodies
LIM Domain Kinase 1 (LIMK1)

Reactivity

  • 108
  • 77
  • 71
  • 2
  • 2
  • 1
  • 1
  • 1
  • 1
  • 1
Human, Mouse, Rat

Host

  • 103
  • 20
  • 3
Rabbit

Clonality

  • 105
  • 21
Polyclonal

Conjugate

  • 60
  • 9
  • 8
  • 5
  • 3
  • 3
  • 3
  • 3
  • 3
  • 3
  • 2
  • 2
  • 2
  • 2
  • 2
  • 2
  • 2
  • 2
  • 2
  • 2
  • 2
  • 2
  • 2
This LIM Domain Kinase 1 antibody is un-conjugated

Application

  • 90
  • 47
  • 27
  • 26
  • 26
  • 18
  • 15
  • 8
  • 7
  • 6
  • 6
  • 3
  • 1
  • 1
Western Blotting (WB), ELISA, Immunohistochemistry (IHC)
  • Binding Specificity

    • 23
    • 15
    • 15
    • 8
    • 7
    • 7
    • 6
    • 5
    • 4
    • 3
    • 3
    • 3
    • 3
    • 3
    • 2
    • 2
    • 2
    • 1
    • 1
    • 1
    • 1
    • 1
    • 1
    • 1
    • 1
    • 1
    • 1
    • 1
    AA 471-520, pThr508

    Specificity

    LIMK1 (Phospho-Thr508) Antibody detects endogenous levels of LIMK1 only when phosphorylated at Thr508.

    PhosphorylationH:T508 M:T508 R:T508

    Purification

    The antibody was purified from rabbit antiserum by affinity-chromatography using phospho peptide. The antibody against non-phospho peptide was removed by chromatography using corresponding non-phospho peptide.

    Purity

    > 95 %

    Immunogen

    The antiserum was produced against synthesized peptide derived from human LIMK1 around the phosphorylation site of Thr508.

    Isotype

    IgG
  • Application Notes

    WB: 1:500~1:1000 IHC: 1:50~1:100 ELISA: 1:10000

    Comment

    Unigene-Number: Hs.647035 (NCBI Gene Symbol: LIMK1)

    Restrictions

    For Research Use only
  • Format

    Liquid

    Concentration

    1 mg/mL

    Buffer

    phosphate buffered saline (without Mg2+ and Ca2+), pH 7.4, 150 mM NaCl, 0.02 % sodium azide and 50 % glycerol.

    Preservative

    Sodium azide

    Precaution of Use

    This product contains sodium azide: a POISONOUS AND HAZARDOUS SUBSTANCE which should be handled by trained staff only.

    Storage

    -20 °C

    Storage Comment

    Stable at -20°C for at least 1 year.

    Expiry Date

    12 months
  • Target

    LIM Domain Kinase 1 (LIMK1)

    Alternative Name

    LIMK1

    Background

    Synonyms: kinase LIMK1, KIZ-1, LIM domain kinase 1, LIMK, LIMK-1

    NCBI Gene Symbol: LIMK1

    Molecular Weight

    72 kDa

    Gene ID

    3984

    OMIM

    194050

    UniProt

    P53667

    Pathways

    Caspase Cascade in Apoptosis, Regulation of Cell Size, CXCR4-mediated Signaling Events
You are here:
Chat with us!