Phone:
+1 877 302 8632
Fax:
+1 888 205 9894 (Toll-free)
E-Mail:
orders@antibodies-online.com

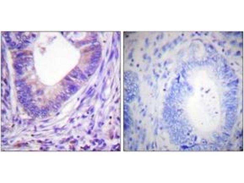
PKA alpha/beta Cat (AA 166-215) antibody

The Rabbit Polyclonal anti-PKA alpha/beta Cat antibody is suitable to detect PKA alpha/beta Cat in samples from Human, Mouse and Rat. It has been validated for IHC, WB, ELISA and IF.
Catalog No. ABIN1532391
$341.00
Plus shipping costs $50.00
Shipping to: United States
Delivery in 2 to 4 Business Days

Quick Overview for PKA alpha/beta Cat (AA 166-215) antibody (ABIN1532391)

Target

PKA alpha/beta Cat

Reactivity

Human, Mouse, Rat

Host

  • 3
Rabbit

Clonality

  • 3
Polyclonal

Conjugate

  • 3
Un-conjugated

Application

  • 3
  • 3
  • 2
  • 2
  • 1
Immunohistochemistry (IHC), Western Blotting (WB), ELISA, Immunofluorescence (IF)
  • Binding Specificity

    • 2
    • 1
    AA 166-215

    Specificity

    PKA alpha/beta CAT Antibody detects endogenous levels of total PKA alpha/beta CAT protein.

    Purification

    The antibody was purified from rabbit antiserum by affinity-chromatography using immunogen.

    Purity

    > 95 %

    Immunogen

    The antiserum was produced against synthesized peptide derived from human PKA alpha/beta CAT.

    Isotype

    IgG
  • Application Notes

    WB: 1:500~1:1000 IHC: 1:50~1:100 IF: 1:100~1:500 ELISA: 1:20000

    Comment

    Unigene-Number: Hs.631630, Hs.487325 (NCBI Gene Symbol: PRKACA)

    Restrictions

    For Research Use only
  • Format

    Liquid

    Concentration

    1 mg/mL

    Buffer

    phosphate buffered saline (without Mg2+ and Ca2+), pH 7.4, 150 mM NaCl, 0.02 % sodium azide and 50 % glycerol.

    Preservative

    Sodium azide

    Precaution of Use

    This product contains sodium azide: a POISONOUS AND HAZARDOUS SUBSTANCE which should be handled by trained staff only.

    Storage

    -20 °C

    Storage Comment

    Stable at -20°C for at least 1 year.

    Expiry Date

    12 months
  • Target

    PKA alpha/beta Cat

    Background

    Synonyms: cAMP-dependent protein kinase catalytic subunit alpha, PKA C-alpha, PRKACA, PKACA

    NCBI Gene Symbol: PRKACA

    Molecular Weight

    40 kDa

    Gene ID

    5566, 5567

    OMIM

    601639

    UniProt

    P17612, P22694
You are here:
Chat with us!