Phone:
+1 877 302 8632
Fax:
+1 888 205 9894 (Toll-free)
E-Mail:
orders@antibodies-online.com

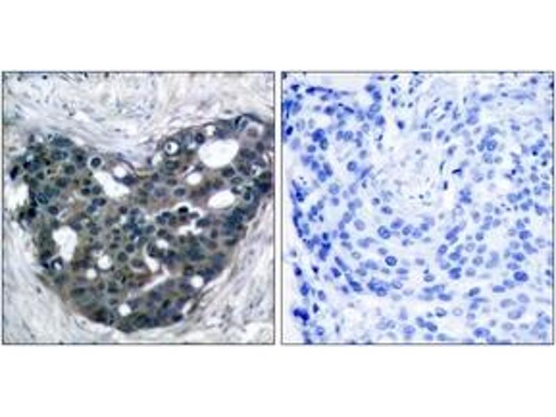
DOK2 antibody (AA 266-315)

The Rabbit Polyclonal anti-DOK2 antibody is suitable to detect DOK2 in samples from Human and Mouse. It has been validated for WB, ELISA and IHC.
Catalog No. ABIN1532848
$341.00
Plus shipping costs $50.00
Shipping to: United States
Delivery in 2 to 4 Business Days

Quick Overview for DOK2 antibody (AA 266-315) (ABIN1532848)

Target

See all DOK2 Antibodies
DOK2

Reactivity

  • 104
  • 68
  • 19
  • 4
  • 4
  • 3
  • 3
  • 2
  • 1
Human, Mouse

Host

  • 114
  • 5
Rabbit

Clonality

  • 114
  • 5
Polyclonal

Conjugate

  • 41
  • 7
  • 7
  • 6
  • 4
  • 4
  • 4
  • 4
  • 4
  • 4
  • 4
  • 4
  • 4
  • 4
  • 4
  • 2
  • 2
  • 2
  • 2
  • 2
  • 2
  • 1
  • 1
This DOK2 antibody is un-conjugated

Application

  • 98
  • 52
  • 52
  • 37
  • 24
  • 18
  • 13
  • 12
  • 2
  • 2
  • 2
  • 1
  • 1
Western Blotting (WB), ELISA, Immunohistochemistry (IHC)
  • Binding Specificity

    • 26
    • 22
    • 15
    • 7
    • 6
    • 6
    • 3
    • 2
    • 2
    • 2
    • 1
    • 1
    • 1
    • 1
    • 1
    • 1
    • 1
    AA 266-315

    Specificity

    p56 Dok-2 Antibody detects endogenous levels of total p56 Dok-2 protein.

    Purification

    The antibody was purified from rabbit antiserum by affinity-chromatography using immunogen.

    Purity

    > 95 %

    Immunogen

    The antiserum was produced against synthesized peptide derived from human p56 Dok-2.

    Isotype

    IgG
  • Application Notes

    WB: 1:500~1:1000 IHC: 1:50~1:100 ELISA: 1:20000

    Comment

    Unigene-Number: Hs.71215 (NCBI Gene Symbol: DOK2)

    Restrictions

    For Research Use only
  • Format

    Liquid

    Concentration

    1 mg/mL

    Buffer

    phosphate buffered saline (without Mg2+ and Ca2+), pH 7.4, 150 mM NaCl, 0.02 % sodium azide and 50 % glycerol.

    Preservative

    Sodium azide

    Precaution of Use

    This product contains sodium azide: a POISONOUS AND HAZARDOUS SUBSTANCE which should be handled by trained staff only.

    Storage

    -20 °C

    Storage Comment

    Stable at -20°C for at least 1 year.

    Expiry Date

    12 months
  • Target

    DOK2

    Alternative Name

    p56 Dok-2

    Background

    Synonyms: Docking protein 2, Dok-R, Dok-related protein, DOK2, DokR, downstream of tyrosine kinase 2, FRIP, IL-4 receptor interacting protein, p56(dok-2)

    NCBI Gene Symbol: DOK2

    Molecular Weight

    45 kDa

    Gene ID

    9046

    OMIM

    604997

    UniProt

    O60496
You are here:
Chat with us!