Phone:
+1 877 302 8632
Fax:
+1 888 205 9894 (Toll-free)
E-Mail:
orders@antibodies-online.com

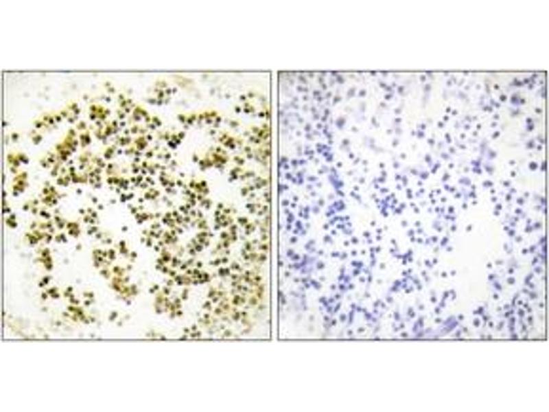
Musculin antibody (AA 131-180)

The Rabbit Polyclonal anti-Musculin antibody (ABIN1533527) specifically detects Musculin in ELISA, WB and IHC. The antibody is reactive with Human and Mouse samples.
Catalog No. ABIN1533527
$341.00
Plus shipping costs $50.00
Shipping to: United States
Delivery in 2 to 4 Business Days

Quick Overview for Musculin antibody (AA 131-180) (ABIN1533527)

Target

See all Musculin (MSC) Antibodies
Musculin (MSC)

Reactivity

  • 30
  • 19
  • 2
  • 2
  • 1
  • 1
  • 1
  • 1
  • 1
  • 1
  • 1
Human, Mouse

Host

  • 27
  • 2
  • 1
Rabbit

Clonality

  • 28
  • 2
Polyclonal

Conjugate

  • 14
  • 3
  • 3
  • 2
  • 1
  • 1
  • 1
  • 1
  • 1
  • 1
  • 1
  • 1
This Musculin antibody is un-conjugated

Application

  • 17
  • 16
  • 6
  • 1
  • 1
  • 1
ELISA, Western Blotting (WB), Immunohistochemistry (IHC)
  • Binding Specificity

    • 8
    • 6
    • 5
    • 1
    • 1
    • 1
    • 1
    AA 131-180

    Specificity

    Musculin Antibody detects endogenous levels of total Musculin protein.

    Purification

    The antibody was purified from rabbit antiserum by affinity-chromatography using immunogen.

    Purity

    > 95 %

    Immunogen

    The antiserum was produced against synthesized peptide derived from human Musculin.

    Isotype

    IgG
  • Application Notes

    WB: 1:500~1:1000 IHC: 1:50~1:100 ELISA: 1:10000

    Comment

    Unigene-Number: Hs.442619 (NCBI Gene Symbol: MSC)

    Restrictions

    For Research Use only
  • Format

    Liquid

    Concentration

    1 mg/mL

    Buffer

    phosphate buffered saline (without Mg2+ and Ca2+), pH 7.4, 150 mM NaCl, 0.02 % sodium azide and 50 % glycerol.

    Preservative

    Sodium azide

    Precaution of Use

    This product contains sodium azide: a POISONOUS AND HAZARDOUS SUBSTANCE which should be handled by trained staff only.

    Storage

    -20 °C

    Storage Comment

    Stable at -20°C for at least 1 year.

    Expiry Date

    12 months
  • Target

    Musculin (MSC)

    Alternative Name

    Musculin

    Background

    Synonyms: Musculin, Activated B-cell factor 1, ABF-1, MSC, ABF1

    NCBI Gene Symbol: MSC

    Molecular Weight

    22 kDa

    Gene ID

    9242

    OMIM

    603628

    UniProt

    O60682
You are here:
Chat with us!