CEBPG antibody (AA 31-80)
Quick Overview for CEBPG antibody (AA 31-80) (ABIN1533777)
Target
See all CEBPG AntibodiesReactivity
Host
Clonality
Conjugate
Application
-
-
Binding Specificity
- AA 31-80
-
Specificity
-
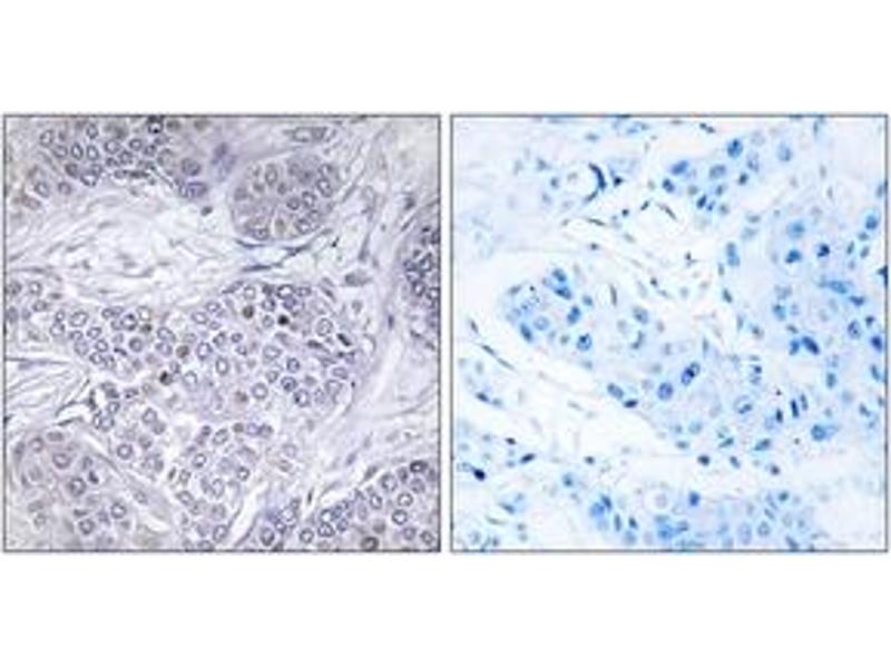
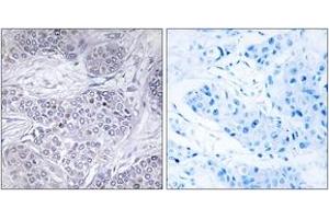
CEBPG Antibody detects endogenous levels of total CEBPG protein.
-
Purification
- The antibody was purified from rabbit antiserum by affinity-chromatography using immunogen.
-
Purity
- > 95 %
-
Immunogen
- The antiserum was produced against synthesized peptide derived from human CEBPG.
-
Isotype
- IgG
-
-
-
-
Application Notes
- WB: 1:500~1:1000 IHC: 1:50~1:100 ELISA: 1:20000
-
Comment
-
Unigene-Number: Hs.429666 (NCBI Gene Symbol: CEBPG)
-
Restrictions
- For Research Use only
-
-
-
Format
- Liquid
-
Concentration
- 1 mg/mL
-
Buffer
- phosphate buffered saline (without Mg2+ and Ca2+), pH 7.4, 150 mM NaCl, 0.02 % sodium azide and 50 % glycerol.
-
Preservative
- Sodium azide
-
Precaution of Use
- This product contains sodium azide: a POISONOUS AND HAZARDOUS SUBSTANCE which should be handled by trained staff only.
-
Storage
- -20 °C
-
Storage Comment
- Stable at -20°C for at least 1 year.
-
Expiry Date
- 12 months
-
-
- CEBPG (CCAAT/enhancer Binding Protein (C/EBP), gamma (CEBPG))
-
Alternative Name
- CEBPG
-
Background
-
Synonyms: CCAAT/enhancer-binding protein gamma, C/EBP gamma
NCBI Gene Symbol: CEBPG
-
Molecular Weight
- 16 kDa
-
Gene ID
- 1054
-
OMIM
- 138972
-
UniProt
- P53567
-
Pathways
- Positive Regulation of Response to DNA Damage Stimulus
Target
-