Phone:
+1 877 302 8632
Fax:
+1 888 205 9894 (Toll-free)
E-Mail:
orders@antibodies-online.com

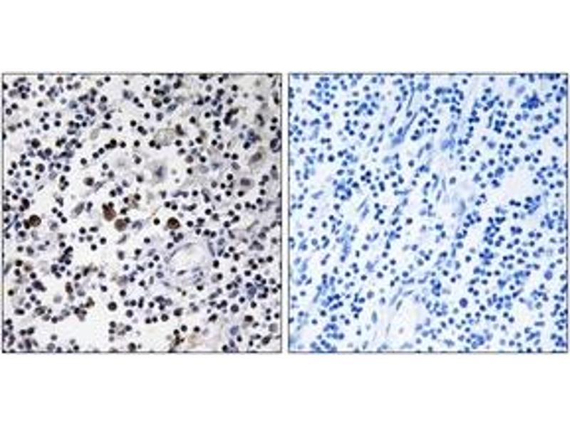
DCL1 antibody (AA 51-100)

The Rabbit Polyclonal anti-DCL1 antibody (ABIN1534313) specifically detects DCL1 in WB, ELISA and IHC. The antibody is reactive with Human, Mouse and Rat samples.
Catalog No. ABIN1534313
$341.00
Plus shipping costs $50.00
Shipping to: United States
Delivery in 2 to 4 Business Days

Quick Overview for DCL1 antibody (AA 51-100) (ABIN1534313)

Target

See all DCL1 (CD302) Antibodies
DCL1 (CD302) (CD302)

Reactivity

  • 39
  • 23
  • 11
  • 1
Human, Mouse, Rat

Host

  • 38
  • 3
  • 2
Rabbit

Clonality

  • 40
  • 3
Polyclonal

Conjugate

  • 24
  • 5
  • 3
  • 3
  • 1
  • 1
  • 1
  • 1
  • 1
  • 1
  • 1
  • 1
This DCL1 antibody is un-conjugated

Application

  • 25
  • 23
  • 9
  • 4
  • 3
  • 2
  • 2
  • 2
  • 1
Western Blotting (WB), ELISA, Immunohistochemistry (IHC)
  • Binding Specificity

    • 9
    • 8
    • 5
    • 4
    • 1
    • 1
    • 1
    • 1
    • 1
    • 1
    • 1
    • 1
    • 1
    • 1
    AA 51-100

    Specificity

    CD302 Antibody detects endogenous levels of total CD302 protein.

    Purification

    The antibody was purified from rabbit antiserum by affinity-chromatography using immunogen.

    Purity

    > 95 %

    Immunogen

    The antiserum was produced against synthesized peptide derived from human CD302.

    Isotype

    IgG
  • Application Notes

    WB: 1:500~1:1000 IHC: 1:50~1:100 ELISA: 1:40000

    Comment

    Unigene-Number: Hs.130014 (NCBI Gene Symbol: CD302)

    Restrictions

    For Research Use only
  • Format

    Liquid

    Concentration

    1 mg/mL

    Buffer

    phosphate buffered saline (without Mg2+ and Ca2+), pH 7.4, 150 mM NaCl, 0.02 % sodium azide and 50 % glycerol.

    Preservative

    Sodium azide

    Precaution of Use

    This product contains sodium azide: a POISONOUS AND HAZARDOUS SUBSTANCE which should be handled by trained staff only.

    Storage

    -20 °C

    Storage Comment

    Stable at -20°C for at least 1 year.

    Expiry Date

    12 months
  • Target

    DCL1 (CD302) (CD302)

    Alternative Name

    CD302

    Background

    Synonyms: CD302 antigen, C-type lectin domain family 13 member A, C-type lectin BIMLEC, Type I transmembrane C-type lectin receptor DCL-1, , CD302, CLEC13A, DCL1, KIAA0022

    NCBI Gene Symbol: CD302

    Molecular Weight

    26 kDa

    Gene ID

    9936

    UniProt

    Q8IX05

    Pathways

    Regulation of Actin Filament Polymerization
You are here:
Chat with us!