Phone:
+1 877 302 8632
Fax:
+1 888 205 9894 (Toll-free)
E-Mail:
orders@antibodies-online.com

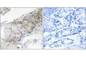
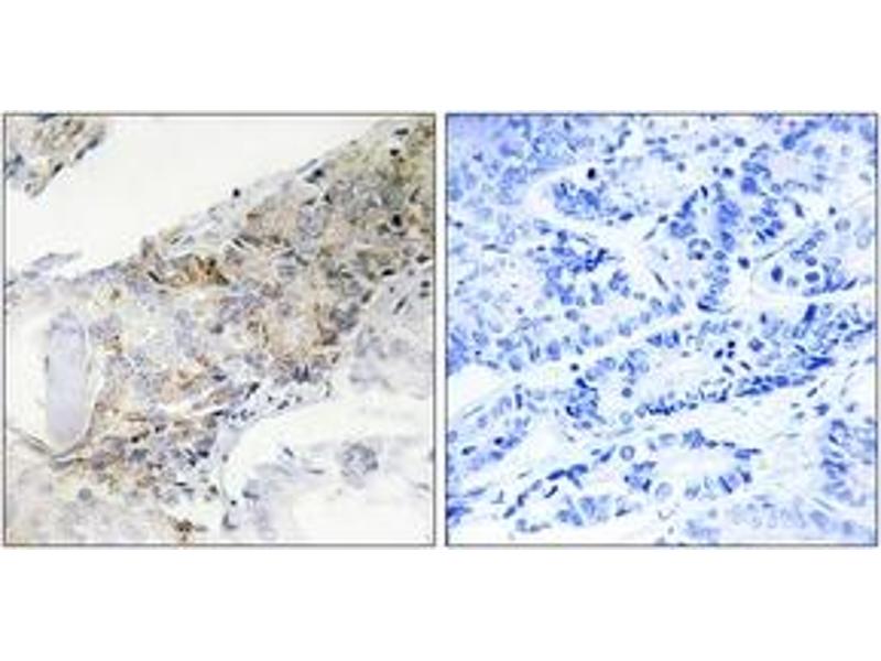
COX5B antibody (AA 11-60)

The Rabbit Polyclonal anti-COX5B antibody is suitable to detect COX5B in samples from Human, Mouse and Rat. It has been validated for ELISA and IHC.
Catalog No. ABIN1534369
$341.00
Plus shipping costs $50.00
Shipping to: United States
Delivery in 2 to 4 Business Days

Quick Overview for COX5B antibody (AA 11-60) (ABIN1534369)

Target

See all COX5B Antibodies
COX5B (Cytochrome C Oxidase Subunit Vb (COX5B))

Reactivity

  • 56
  • 28
  • 28
  • 12
  • 1
Human, Mouse, Rat

Host

  • 54
  • 3
Rabbit

Clonality

  • 46
  • 11
Polyclonal

Conjugate

  • 23
  • 5
  • 4
  • 3
  • 3
  • 3
  • 3
  • 3
  • 3
  • 3
  • 1
  • 1
  • 1
  • 1
This COX5B antibody is un-conjugated

Application

  • 37
  • 23
  • 22
  • 12
  • 11
  • 7
  • 3
  • 2
  • 1
  • 1
  • 1
  • 1
ELISA, Immunohistochemistry (IHC)
  • Binding Specificity

    • 6
    • 4
    • 3
    • 3
    • 2
    • 1
    • 1
    • 1
    • 1
    • 1
    • 1
    • 1
    • 1
    AA 11-60

    Specificity

    COX5B Antibody detects endogenous levels of total COX5B protein.

    Purification

    The antibody was purified from rabbit antiserum by affinity-chromatography using immunogen.

    Purity

    > 95 %

    Immunogen

    The antiserum was produced against synthesized peptide derived from human COX5B.

    Isotype

    IgG
  • Application Notes

    IHC: 1:50~1:100 ELISA: 1:20000

    Comment

    Unigene-Number: Hs.1342 (NCBI Gene Symbol: COX5B)

    Restrictions

    For Research Use only
  • Format

    Liquid

    Concentration

    1 mg/mL

    Buffer

    phosphate buffered saline (without Mg2+ and Ca2+), pH 7.4, 150 mM NaCl, 0.02 % sodium azide and 50 % glycerol.

    Preservative

    Sodium azide

    Precaution of Use

    This product contains sodium azide: a POISONOUS AND HAZARDOUS SUBSTANCE which should be handled by trained staff only.

    Storage

    -20 °C

    Storage Comment

    Stable at -20°C for at least 1 year.

    Expiry Date

    12 months
  • Target

    COX5B (Cytochrome C Oxidase Subunit Vb (COX5B))

    Alternative Name

    COX5B

    Background

    Synonyms: Cytochrome c oxidase polypeptide Vb, Cytochrome c oxidase subunit 5B, mitochondrial precursor,

    NCBI Gene Symbol: COX5B

    Molecular Weight

    13 kDa

    Gene ID

    1329

    OMIM

    123866

    UniProt

    P10606
You are here:
Chat with us!