Phone:
+1 877 302 8632
Fax:
+1 888 205 9894 (Toll-free)
E-Mail:
orders@antibodies-online.com

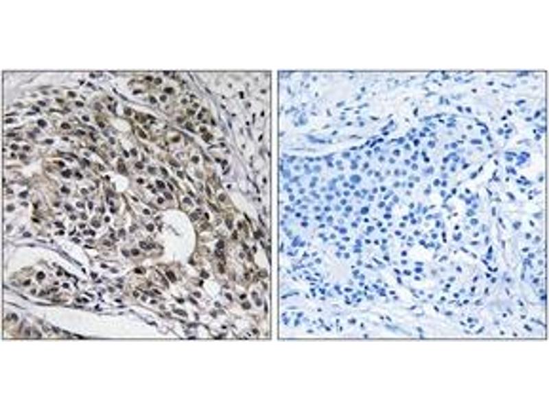
MRPL13 antibody (AA 121-170)

This Rabbit Polyclonal antibody specifically detects MRPL13 in WB, IHC and ELISA. It exhibits reactivity toward Human, Mouse and Rat.
Catalog No. ABIN1534518
$341.00
Plus shipping costs $50.00
Shipping to: United States
Delivery in 2 to 4 Business Days

Quick Overview for MRPL13 antibody (AA 121-170) (ABIN1534518)

Target

See all MRPL13 Antibodies
MRPL13 (Mitochondrial Ribosomal Protein L13 (MRPL13))

Reactivity

  • 21
  • 8
  • 8
  • 2
  • 2
  • 2
  • 2
  • 1
  • 1
  • 1
  • 1
  • 1
Human, Mouse, Rat

Host

  • 19
  • 2
Rabbit

Clonality

  • 20
  • 1
Polyclonal

Conjugate

  • 14
  • 1
  • 1
  • 1
  • 1
  • 1
  • 1
  • 1
This MRPL13 antibody is un-conjugated

Application

  • 13
  • 7
  • 5
  • 1
  • 1
  • 1
  • 1
  • 1
Western Blotting (WB), Immunohistochemistry (IHC), ELISA
  • Binding Specificity

    • 5
    • 2
    • 1
    • 1
    • 1
    AA 121-170

    Specificity

    MRPL13 Antibody detects endogenous levels of total MRPL13 protein.

    Purification

    The antibody was purified from rabbit antiserum by affinity-chromatography using immunogen.

    Purity

    > 95 %

    Immunogen

    The antiserum was produced against synthesized peptide derived from human MRPL13.

    Isotype

    IgG
  • Application Notes

    WB: 1:500~1:1000 IHC: 1:50~1:100 ELISA: 1:40000

    Comment

    Unigene-Number: Hs.333823 (NCBI Gene Symbol: MRPL13)

    Restrictions

    For Research Use only
  • Format

    Liquid

    Concentration

    1 mg/mL

    Buffer

    phosphate buffered saline (without Mg2+ and Ca2+), pH 7.4, 150 mM NaCl, 0.02 % sodium azide and 50 % glycerol.

    Preservative

    Sodium azide

    Precaution of Use

    This product contains sodium azide: a POISONOUS AND HAZARDOUS SUBSTANCE which should be handled by trained staff only.

    Storage

    -20 °C

    Storage Comment

    Stable at -20°C for at least 1 year.

    Expiry Date

    12 months
  • Target

    MRPL13 (Mitochondrial Ribosomal Protein L13 (MRPL13))

    Alternative Name

    MRPL13

    Background

    Synonyms: 39S ribosomal protein L13 mitochondrial, L13mt, MRP-L13

    NCBI Gene Symbol: MRPL13

    Molecular Weight

    20 kDa

    Gene ID

    28998

    OMIM

    610200

    UniProt

    Q9BYD1
You are here:
Chat with us!