Phone:
+1 877 302 8632
Fax:
+1 888 205 9894 (Toll-free)
E-Mail:
orders@antibodies-online.com

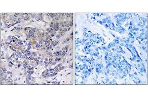
RPS21 antibody (AA 31-80)

The Rabbit Polyclonal anti-RPS21 antibody is suitable to detect RPS21 in samples from Human, Mouse and Rat. It has been validated for ELISA and IHC.
Catalog No. ABIN1534543
$341.00
Plus shipping costs $50.00
Shipping to: United States
Delivery in 2 to 4 Business Days

Quick Overview for RPS21 antibody (AA 31-80) (ABIN1534543)

Target

See all RPS21 Antibodies
RPS21 (Ribosomal Protein S21 (RPS21))

Reactivity

  • 26
  • 11
  • 9
  • 3
  • 3
  • 2
  • 2
  • 2
  • 2
  • 1
  • 1
  • 1
  • 1
  • 1
  • 1
Human, Mouse, Rat

Host

  • 26
Rabbit

Clonality

  • 26
Polyclonal

Conjugate

  • 16
  • 2
  • 1
  • 1
  • 1
  • 1
  • 1
  • 1
  • 1
  • 1
This RPS21 antibody is un-conjugated

Application

  • 13
  • 10
  • 6
  • 4
  • 2
  • 2
  • 1
ELISA, Immunohistochemistry (IHC)
  • Binding Specificity

    • 5
    • 4
    • 3
    • 3
    • 2
    • 2
    • 1
    • 1
    • 1
    • 1
    AA 31-80

    Specificity

    RPS21 Antibody detects endogenous levels of total RPS21 protein.

    Purification

    The antibody was purified from rabbit antiserum by affinity-chromatography using immunogen.

    Purity

    > 95 %

    Immunogen

    The antiserum was produced against synthesized peptide derived from human RPS21.

    Isotype

    IgG
  • Application Notes

    IHC: 1:50~1:100 ELISA: 1:10000

    Comment

    Unigene-Number: Hs.190968 (NCBI Gene Symbol: RPS21)

    Restrictions

    For Research Use only
  • Format

    Liquid

    Concentration

    1 mg/mL

    Buffer

    phosphate buffered saline (without Mg2+ and Ca2+), pH 7.4, 150 mM NaCl, 0.02 % sodium azide and 50 % glycerol.

    Preservative

    Sodium azide

    Precaution of Use

    This product contains sodium azide: a POISONOUS AND HAZARDOUS SUBSTANCE which should be handled by trained staff only.

    Storage

    -20 °C

    Storage Comment

    Stable at -20°C for at least 1 year.

    Expiry Date

    12 months
  • Target

    RPS21 (Ribosomal Protein S21 (RPS21))

    Alternative Name

    RPS21

    Background

    Synonyms: 40S ribosomal protein S21

    NCBI Gene Symbol: RPS21

    Molecular Weight

    9 kDa

    Gene ID

    6227

    OMIM

    180477

    UniProt

    P63220
You are here:
Chat with us!