Phone:
+1 877 302 8632
Fax:
+1 888 205 9894 (Toll-free)
E-Mail:
orders@antibodies-online.com

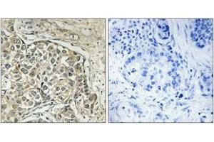
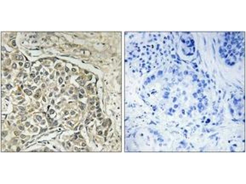
Arylsulfatase D antibody (AA 331-380)

The Rabbit Polyclonal anti-Arylsulfatase D antibody (ABIN1534652) specifically detects Arylsulfatase D in ELISA, IHC and IF. The antibody is reactive with Human samples.
Catalog No. ABIN1534652
$341.00
Plus shipping costs $50.00
Shipping to: United States
Delivery in 2 to 4 Business Days

Quick Overview for Arylsulfatase D antibody (AA 331-380) (ABIN1534652)

Target

See all Arylsulfatase D (ARSD) Antibodies
Arylsulfatase D (ARSD)

Reactivity

  • 25
  • 3
  • 2
Human

Host

  • 25
  • 1
  • 1
Rabbit

Clonality

  • 26
  • 1
Polyclonal

Conjugate

  • 15
  • 2
  • 1
  • 1
  • 1
  • 1
  • 1
  • 1
  • 1
  • 1
  • 1
  • 1
This Arylsulfatase D antibody is un-conjugated

Application

  • 16
  • 13
  • 5
  • 5
  • 4
  • 2
  • 2
  • 2
  • 2
  • 1
ELISA, Immunohistochemistry (IHC), Immunofluorescence (IF)
  • Binding Specificity

    • 8
    • 3
    • 2
    • 2
    • 2
    • 1
    AA 331-380

    Specificity

    ARSD Antibody detects endogenous levels of total ARSD protein.

    Purification

    The antibody was purified from rabbit antiserum by affinity-chromatography using immunogen.

    Purity

    > 95 %

    Immunogen

    The antiserum was produced against synthesized peptide derived from human ARSD.

    Isotype

    IgG
  • Application Notes

    IHC: 1:50~1:100 IF: 1:100~1:500 ELISA: 1:20000

    Comment

    Unigene-Number: Hs.528631 (NCBI Gene Symbol: ARSD)

    Restrictions

    For Research Use only
  • Format

    Liquid

    Concentration

    1 mg/mL

    Buffer

    phosphate buffered saline (without Mg2+ and Ca2+), pH 7.4, 150 mM NaCl, 0.02 % sodium azide and 50 % glycerol.

    Preservative

    Sodium azide

    Precaution of Use

    This product contains sodium azide: a POISONOUS AND HAZARDOUS SUBSTANCE which should be handled by trained staff only.

    Storage

    -20 °C

    Storage Comment

    Stable at -20°C for at least 1 year.

    Expiry Date

    12 months
  • Target

    Arylsulfatase D (ARSD)

    Alternative Name

    ARSD

    Background

    Synonyms: Arylsulfatase D, ASD

    NCBI Gene Symbol: ARSD

    Molecular Weight

    65 kDa

    Gene ID

    414

    OMIM

    300002

    UniProt

    P51689
You are here:
Chat with us!