Phone:
+1 877 302 8632
Fax:
+1 888 205 9894 (Toll-free)
E-Mail:
orders@antibodies-online.com

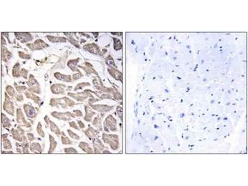
BRWD3 antibody (AA 1751-1800)

The Rabbit Polyclonal anti-BRWD3 antibody (ABIN1534706) specifically detects BRWD3 in WB, ELISA and IHC. The antibody is reactive with Human and Mouse samples.
Catalog No. ABIN1534706
$341.00
Plus shipping costs $50.00
Shipping to: United States
Delivery in 2 to 4 Business Days

Quick Overview for BRWD3 antibody (AA 1751-1800) (ABIN1534706)

Target

See all BRWD3 Antibodies
BRWD3 (Bromodomain and WD Repeat Domain Containing 3 (BRWD3))

Reactivity

  • 6
  • 4
  • 1
Human, Mouse

Host

  • 6
Rabbit

Clonality

  • 6
Polyclonal

Conjugate

  • 6
This BRWD3 antibody is un-conjugated

Application

  • 6
  • 5
  • 4
  • 2
  • 2
  • 2
  • 1
  • 1
  • 1
Western Blotting (WB), ELISA, Immunohistochemistry (IHC)
  • Binding Specificity

    • 4
    • 1
    • 1
    AA 1751-1800

    Specificity

    BRWD3 Antibody detects endogenous levels of total BRWD3 protein.

    Purification

    The antibody was purified from rabbit antiserum by affinity-chromatography using immunogen.

    Purity

    > 95 %

    Immunogen

    The antiserum was produced against synthesized peptide derived from human BRWD3.

    Isotype

    IgG
  • Application Notes

    WB: 1:500~1:1000 IHC: 1:50~1:100 ELISA: 1:40000

    Comment

    Unigene-Number: Hs.170667, Hs.613180, Hs.709836 (NCBI Gene Symbol: BRWD3)

    Restrictions

    For Research Use only
  • Format

    Liquid

    Concentration

    1 mg/mL

    Buffer

    phosphate buffered saline (without Mg2+ and Ca2+), pH 7.4, 150 mM NaCl, 0.02 % sodium azide and 50 % glycerol.

    Preservative

    Sodium azide

    Precaution of Use

    This product contains sodium azide: a POISONOUS AND HAZARDOUS SUBSTANCE which should be handled by trained staff only.

    Storage

    -20 °C

    Storage Comment

    Stable at -20°C for at least 1 year.

    Expiry Date

    12 months
  • Target

    BRWD3 (Bromodomain and WD Repeat Domain Containing 3 (BRWD3))

    Alternative Name

    BRWD3

    Background

    Synonyms: BRODL, bromodomain and WD repeat domain containing 3, FLJ38568

    NCBI Gene Symbol: BRWD3

    Molecular Weight

    203 kDa

    Gene ID

    254065

    OMIM

    300553

    UniProt

    Q6RI45
You are here:
Chat with us!