CSGALNACT1 antibody (AA 201-250)
Quick Overview for CSGALNACT1 antibody (AA 201-250) (ABIN1534770)
Target
See all CSGALNACT1 AntibodiesReactivity
Host
Clonality
Conjugate
Application
-
-
Binding Specificity
- AA 201-250
-
Specificity
-
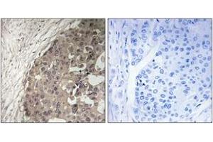
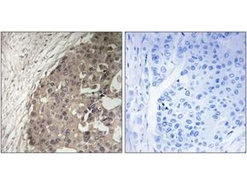
CSGALNACT1 Antibody detects endogenous levels of total CSGALNACT1 protein.
-
Purification
- The antibody was purified from rabbit antiserum by affinity-chromatography using immunogen.
-
Purity
- > 95 %
-
Immunogen
- The antiserum was produced against synthesized peptide derived from human CSGALNACT1.
-
Isotype
- IgG
-
-
-
-
Application Notes
- IHC: 1:50~1:100 ELISA: 1:10000
-
Comment
-
Unigene-Number: Hs.613729, Hs.721954 (NCBI Gene Symbol: CGAT1)
-
Restrictions
- For Research Use only
-
-
-
Format
- Liquid
-
Concentration
- 1 mg/mL
-
Buffer
- phosphate buffered saline (without Mg2+ and Ca2+), pH 7.4, 150 mM NaCl, 0.02 % sodium azide and 50 % glycerol.
-
Preservative
- Sodium azide
-
Precaution of Use
- This product contains sodium azide: a POISONOUS AND HAZARDOUS SUBSTANCE which should be handled by trained staff only.
-
Storage
- -20 °C
-
Storage Comment
- Stable at -20°C for at least 1 year.
-
Expiry Date
- 12 months
-
-
- CSGALNACT1 (Chondroitin Sulfate N-Acetylgalactosaminyltransferase 1 (CSGALNACT1))
-
Alternative Name
- CSGALNACT1
-
Background
-
Synonyms: Chondroitin beta-1,4-N-acetylgalactosaminyltransferase 1, Beta4GalNAcT-1
NCBI Gene Symbol: CGAT1
-
Molecular Weight
- 61 kDa
-
Gene ID
- 55790
-
UniProt
- Q8TDX6
-
Pathways
- Glycosaminoglycan Metabolic Process
Target
-