Phone:
+1 877 302 8632
Fax:
+1 888 205 9894 (Toll-free)
E-Mail:
orders@antibodies-online.com

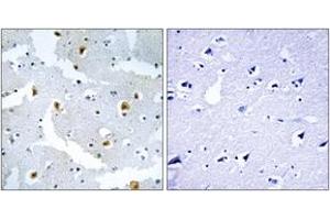
Formin 2 antibody (AA 1541-1590)

The Rabbit Polyclonal anti-Formin 2 antibody (ABIN1534913) specifically detects Formin 2 in ELISA and IHC. The antibody is reactive with Human and Mouse samples.
Catalog No. ABIN1534913
$341.00
Plus shipping costs $50.00
Shipping to: United States
Delivery in 2 to 4 Business Days

Quick Overview for Formin 2 antibody (AA 1541-1590) (ABIN1534913)

Target

See all Formin 2 (FMN2) Antibodies
Formin 2 (FMN2)

Reactivity

  • 18
  • 10
  • 1
Human, Mouse

Host

  • 15
  • 3
Rabbit

Clonality

  • 16
  • 2
Polyclonal

Conjugate

  • 11
  • 1
  • 1
  • 1
  • 1
  • 1
  • 1
  • 1
This Formin 2 antibody is un-conjugated

Application

  • 7
  • 7
  • 4
  • 1
  • 1
  • 1
ELISA, Immunohistochemistry (IHC)
  • Binding Specificity

    • 3
    • 3
    • 1
    • 1
    • 1
    • 1
    AA 1541-1590

    Specificity

    FMN2 Antibody detects endogenous levels of total FMN2 protein.

    Purification

    The antibody was purified from rabbit antiserum by affinity-chromatography using immunogen.

    Purity

    > 95 %

    Immunogen

    The antiserum was produced against synthesized peptide derived from human FMN2.

    Isotype

    IgG
  • Application Notes

    IHC: 1:50~1:100 ELISA: 1:40000

    Comment

    Unigene-Number: Hs.24889 (NCBI Gene Symbol: FMN2)

    Restrictions

    For Research Use only
  • Format

    Liquid

    Concentration

    1 mg/mL

    Buffer

    phosphate buffered saline (without Mg2+ and Ca2+), pH 7.4, 150 mM NaCl, 0.02 % sodium azide and 50 % glycerol.

    Preservative

    Sodium azide

    Precaution of Use

    This product contains sodium azide: a POISONOUS AND HAZARDOUS SUBSTANCE which should be handled by trained staff only.

    Storage

    -20 °C

    Storage Comment

    Stable at -20°C for at least 1 year.

    Expiry Date

    12 months
  • Target

    Formin 2 (FMN2)

    Alternative Name

    FMN2

    Background

    Synonyms: Formin-2

    NCBI Gene Symbol: FMN2

    Molecular Weight

    180 kDa

    Gene ID

    56776

    OMIM

    606373

    UniProt

    Q9NZ56

    Pathways

    Regulation of Actin Filament Polymerization
You are here:
Chat with us!