Phone:
+1 877 302 8632
Fax:
+1 888 205 9894 (Toll-free)
E-Mail:
orders@antibodies-online.com

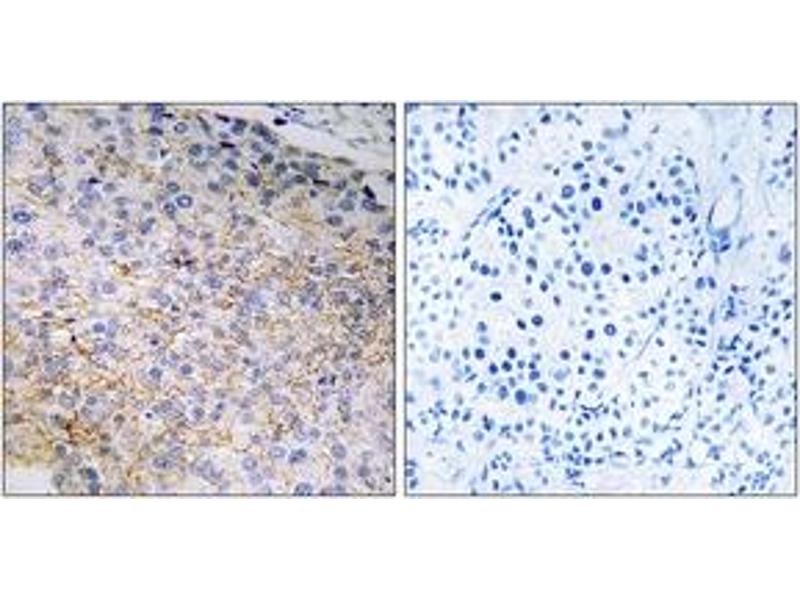
NOX3 antibody (AA 287-336)

This Rabbit Polyclonal antibody specifically detects NOX3 in ELISA and IHC. It exhibits reactivity toward Human, Mouse and Rat.It has been mentioned in 1 publication
Catalog No. ABIN1535076
$341.00
Plus shipping costs $50.00
Shipping to: United States
Delivery in 2 to 4 Business Days

Quick Overview for NOX3 antibody (AA 287-336) (ABIN1535076)

Target

See all NOX3 Antibodies
NOX3 (NADPH Oxidase 3 (NOX3))

Reactivity

Human, Mouse, Rat

Host

  • 43
Rabbit

Clonality

  • 43
Polyclonal

Conjugate

  • 18
  • 2
  • 2
  • 2
  • 1
  • 1
  • 1
  • 1
  • 1
  • 1
  • 1
  • 1
  • 1
  • 1
  • 1
  • 1
  • 1
  • 1
  • 1
  • 1
  • 1
  • 1
  • 1
This NOX3 antibody is un-conjugated

Application

  • 33
  • 19
  • 13
  • 13
  • 8
  • 6
  • 3
  • 2
  • 1
  • 1
ELISA, Immunohistochemistry (IHC)
  • Binding Specificity

    • 15
    • 8
    • 3
    • 2
    • 2
    • 2
    • 1
    • 1
    • 1
    • 1
    AA 287-336

    Specificity

    NOX3 Antibody detects endogenous levels of total NOX3 protein.

    Purification

    The antibody was purified from rabbit antiserum by affinity-chromatography using immunogen.

    Purity

    > 95 %

    Immunogen

    The antiserum was produced against synthesized peptide derived from human NOX3.

    Isotype

    IgG
  • Application Notes

    IHC: 1:50~1:100 ELISA: 1:40000

    Comment

    Unigene-Number: Hs.247776 (NCBI Gene Symbol: NOX3)

    Restrictions

    For Research Use only
  • Format

    Liquid

    Concentration

    1 mg/mL

    Buffer

    phosphate buffered saline (without Mg2+ and Ca2+), pH 7.4, 150 mM NaCl, 0.02 % sodium azide and 50 % glycerol.

    Preservative

    Sodium azide

    Precaution of Use

    This product contains sodium azide: a POISONOUS AND HAZARDOUS SUBSTANCE which should be handled by trained staff only.

    Storage

    -20 °C

    Storage Comment

    Stable at -20°C for at least 1 year.

    Expiry Date

    12 months
  • Du, Yang, Hu, Sun, Zhang, Peng, Zhong, Huang, Kong: "A long-term high-fat diet increases oxidative stress, mitochondrial damage and apoptosis in the inner ear of D-galactose-induced aging rats." in: Hearing research, Vol. 287, Issue 1-2, pp. 15-24, (2012) (PubMed).

  • Target

    NOX3 (NADPH Oxidase 3 (NOX3))

    Alternative Name

    NOX3

    Background

    Synonyms: NADPH oxidase 3, gp91phox homolog 3, GP91-3, Mitogenic oxidase 2,

    NCBI Gene Symbol: NOX3

    Molecular Weight

    64 kDa

    Gene ID

    50508

    OMIM

    607105

    UniProt

    Q9HBY0
You are here:
Chat with us!