SPTbN5 antibody (AA 481-530)
Quick Overview for SPTbN5 antibody (AA 481-530) (ABIN1535393)
Target
Reactivity
Host
Clonality
Conjugate
Application
-
-
Binding Specificity
- AA 481-530
-
Specificity
-
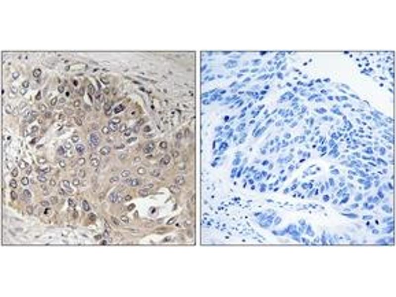
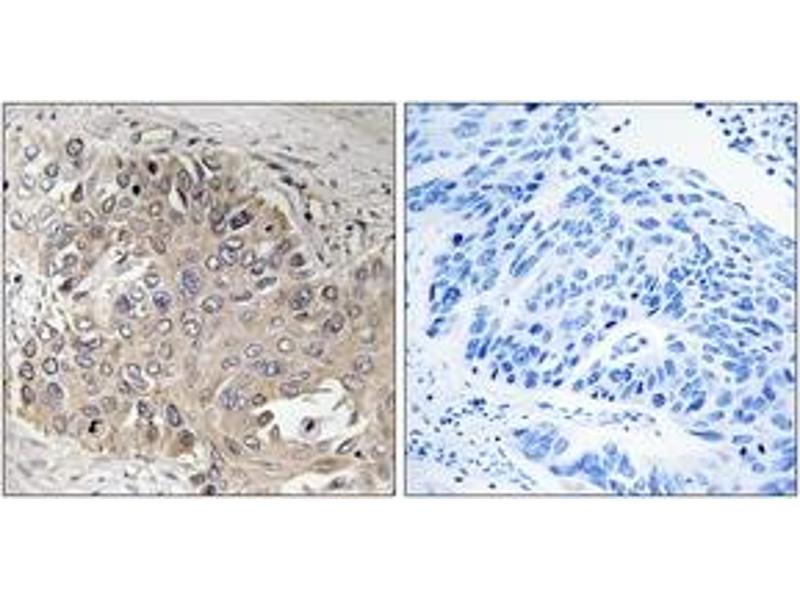
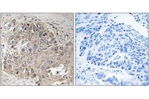
SPTBN5 Antibody detects endogenous levels of total SPTBN5 protein.
-
Purification
- The antibody was purified from rabbit antiserum by affinity-chromatography using immunogen.
-
Purity
- > 95 %
-
Immunogen
- The antiserum was produced against synthesized peptide derived from human SPTBN5.
-
Isotype
- IgG
-
-
-
-
Application Notes
- IHC: 1:50~1:100 ELISA: 1:10000
-
Comment
-
Unigene-Number: Hs.709819 (NCBI Gene Symbol: SPTBN5)
-
Restrictions
- For Research Use only
-
-
-
Format
- Liquid
-
Concentration
- 1 mg/mL
-
Buffer
- phosphate buffered saline (without Mg2+ and Ca2+), pH 7.4, 150 mM NaCl, 0.02 % sodium azide and 50 % glycerol.
-
Preservative
- Sodium azide
-
Precaution of Use
- This product contains sodium azide: a POISONOUS AND HAZARDOUS SUBSTANCE which should be handled by trained staff only.
-
Storage
- -20 °C
-
Storage Comment
- Stable at -20°C for at least 1 year.
-
Expiry Date
- 12 months
-
-
- SPTbN5 (Spectrin Beta, Non-Erythrocytic 5 (SPTbN5))
-
Alternative Name
- SPTBN5
-
Background
-
Synonyms: Spectrin beta chain brain 4, Spectrin non-erythroid beta chain 4, Beta-V spectrin, BSPECV, SPTBN5, SPTBN4,
NCBI Gene Symbol: SPTBN5
-
Molecular Weight
- 416 kDa
-
Gene ID
- 51332
-
OMIM
- 605916
-
UniProt
- Q9NRC6
Target
-