Phone:
+1 877 302 8632
Fax:
+1 888 205 9894 (Toll-free)
E-Mail:
orders@antibodies-online.com

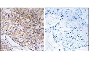
TRAPPC1 antibody (AA 10-59)

This Rabbit Polyclonal antibody specifically detects TRAPPC1 in ELISA and IHC. It exhibits reactivity toward Human, Mouse and Rat.
Catalog No. ABIN1535412
$341.00
Plus shipping costs $50.00
Shipping to: United States
Delivery in 2 to 4 Business Days

Quick Overview for TRAPPC1 antibody (AA 10-59) (ABIN1535412)

Target

See all TRAPPC1 Antibodies
TRAPPC1 (Trafficking Protein Particle Complex 1 (TRAPPC1))

Reactivity

  • 8
  • 6
  • 6
  • 2
  • 2
  • 2
  • 2
  • 2
  • 2
  • 1
  • 1
  • 1
  • 1
Human, Mouse, Rat

Host

  • 7
  • 1
Rabbit

Clonality

  • 8
Polyclonal

Conjugate

  • 8
This TRAPPC1 antibody is un-conjugated

Application

  • 5
  • 4
  • 3
  • 1
ELISA, Immunohistochemistry (IHC)
  • Binding Specificity

    • 2
    • 1
    • 1
    • 1
    • 1
    AA 10-59

    Specificity

    TRAPPC1 Antibody detects endogenous levels of total TRAPPC1 protein.

    Purification

    The antibody was purified from rabbit antiserum by affinity-chromatography using immunogen.

    Purity

    > 95 %

    Immunogen

    The antiserum was produced against synthesized peptide derived from human TRAPPC1.

    Isotype

    IgG
  • Application Notes

    IHC: 1:50~1:100 ELISA: 1:5000

    Comment

    Unigene-Number: Hs.24379 (NCBI Gene Symbol: TRAPPC1)

    Restrictions

    For Research Use only
  • Format

    Liquid

    Concentration

    1 mg/mL

    Buffer

    phosphate buffered saline (without Mg2+ and Ca2+), pH 7.4, 150 mM NaCl, 0.02 % sodium azide and 50 % glycerol.

    Preservative

    Sodium azide

    Precaution of Use

    This product contains sodium azide: a POISONOUS AND HAZARDOUS SUBSTANCE which should be handled by trained staff only.

    Storage

    -20 °C

    Storage Comment

    Stable at -20°C for at least 1 year.

    Expiry Date

    12 months
  • Target

    TRAPPC1 (Trafficking Protein Particle Complex 1 (TRAPPC1))

    Alternative Name

    TRAPPC1

    Background

    Synonyms: Trafficking protein particle complex subunit 1, BET5 homolog, Multiple myeloma protein 2, MUM-2, TRAPPC1, BET5, MUM2

    NCBI Gene Symbol: TRAPPC1

    Molecular Weight

    16 kDa

    Gene ID

    58485

    OMIM

    610969

    UniProt

    Q9Y5R8
You are here:
Chat with us!