Phone:
+1 877 302 8632
Fax:
+1 888 205 9894 (Toll-free)
E-Mail:
orders@antibodies-online.com

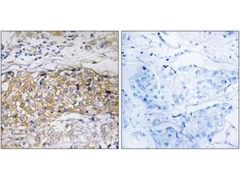
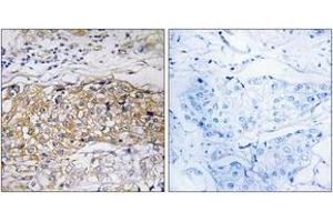
USP24 antibody (AA 21-70)

This Rabbit Polyclonal antibody specifically detects USP24 in ELISA and IHC. It exhibits reactivity toward Human and Mouse.
Catalog No. ABIN1535433
$341.00
Plus shipping costs $50.00
Shipping to: United States
Delivery in 2 to 4 Business Days

Quick Overview for USP24 antibody (AA 21-70) (ABIN1535433)

Target

See all USP24 Antibodies
USP24 (Ubiquitin Specific Peptidase 24 (USP24))

Reactivity

  • 25
  • 10
  • 6
  • 1
  • 1
  • 1
  • 1
  • 1
Human, Mouse

Host

  • 24
  • 2
Rabbit

Clonality

  • 21
  • 5
Polyclonal

Conjugate

  • 22
  • 2
  • 1
  • 1
This USP24 antibody is un-conjugated

Application

  • 14
  • 13
  • 6
  • 5
  • 2
  • 2
  • 1
  • 1
ELISA, Immunohistochemistry (IHC)
  • Binding Specificity

    • 5
    • 3
    • 2
    • 1
    • 1
    • 1
    • 1
    • 1
    • 1
    AA 21-70

    Specificity

    USP24 Antibody detects endogenous levels of total USP24 protein.

    Purification

    The antibody was purified from rabbit antiserum by affinity-chromatography using immunogen.

    Purity

    > 95 %

    Immunogen

    The antiserum was produced against synthesized peptide derived from human USP24.

    Isotype

    IgG
  • Application Notes

    IHC: 1:50~1:100 ELISA: 1:10000

    Comment

    Unigene-Number: Hs.477009 (NCBI Gene Symbol: USP24)

    Restrictions

    For Research Use only
  • Format

    Liquid

    Concentration

    1 mg/mL

    Buffer

    phosphate buffered saline (without Mg2+ and Ca2+), pH 7.4, 150 mM NaCl, 0.02 % sodium azide and 50 % glycerol.

    Preservative

    Sodium azide

    Precaution of Use

    This product contains sodium azide: a POISONOUS AND HAZARDOUS SUBSTANCE which should be handled by trained staff only.

    Storage

    -20 °C

    Storage Comment

    Stable at -20°C for at least 1 year.

    Expiry Date

    12 months
  • Target

    USP24 (Ubiquitin Specific Peptidase 24 (USP24))

    Alternative Name

    USP24

    Background

    Synonyms: Ubiquitin carboxyl-terminal hydrolase 24, Ubiquitin thioesterase 24, Ubiquitin-specific-processing protease 24, Deubiquitinating enzyme 24, USP24, KIAA1057,

    NCBI Gene Symbol: USP24

    Molecular Weight

    211 kDa

    Gene ID

    23358

    OMIM

    610569

    UniProt

    Q9UPU5
You are here:
Chat with us!