Phone:
+1 877 302 8632
Fax:
+1 888 205 9894 (Toll-free)
E-Mail:
orders@antibodies-online.com

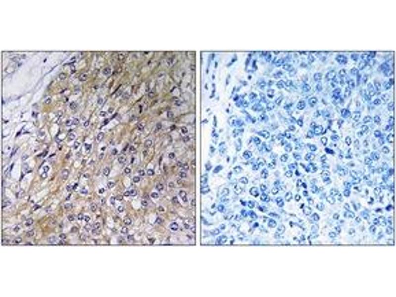
GOLT1A antibody (AA 40-89)

The Rabbit Polyclonal anti-GOLT1A antibody is suitable to detect GOLT1A in samples from Human and Mouse. It has been validated for ELISA and IHC.
Catalog No. ABIN1535458
$341.00
Plus shipping costs $50.00
Shipping to: United States
Delivery in 2 to 4 Business Days

Quick Overview for GOLT1A antibody (AA 40-89) (ABIN1535458)

Target

See all GOLT1A Antibodies
GOLT1A (Golgi Transport 1A (GOLT1A))

Reactivity

  • 15
  • 13
  • 3
Human, Mouse

Host

  • 28
Rabbit

Clonality

  • 28
Polyclonal

Conjugate

  • 9
  • 2
  • 2
  • 2
  • 1
  • 1
  • 1
  • 1
  • 1
  • 1
  • 1
  • 1
  • 1
  • 1
  • 1
  • 1
  • 1
This GOLT1A antibody is un-conjugated

Application

  • 14
  • 13
  • 13
  • 10
  • 9
  • 4
  • 3
  • 2
  • 1
ELISA, Immunohistochemistry (IHC)
  • Binding Specificity

    • 15
    • 8
    • 3
    • 2
    • 1
    • 1
    AA 40-89

    Specificity

    GOLT1A Antibody detects endogenous levels of total GOLT1A protein.

    Purification

    The antibody was purified from rabbit antiserum by affinity-chromatography using immunogen.

    Purity

    > 95 %

    Immunogen

    The antiserum was produced against synthesized peptide derived from human GOLT1A.

    Isotype

    IgG
  • Application Notes

    IHC: 1:50~1:100 ELISA: 1:5000

    Comment

    Unigene-Number: Hs.532401 (NCBI Gene Symbol: GOLT1A)

    Restrictions

    For Research Use only
  • Format

    Liquid

    Concentration

    1 mg/mL

    Buffer

    phosphate buffered saline (without Mg2+ and Ca2+), pH 7.4, 150 mM NaCl, 0.02 % sodium azide and 50 % glycerol.

    Preservative

    Sodium azide

    Precaution of Use

    This product contains sodium azide: a POISONOUS AND HAZARDOUS SUBSTANCE which should be handled by trained staff only.

    Storage

    -20 °C

    Storage Comment

    Stable at -20°C for at least 1 year.

    Expiry Date

    12 months
  • Target

    GOLT1A (Golgi Transport 1A (GOLT1A))

    Alternative Name

    GOLT1A

    Background

    Synonyms: Vesicle transport protein GOT1A, Golgi transport 1 homolog A, hGOT1b, GOLT1A, GOT1B

    NCBI Gene Symbol: GOLT1A

    Molecular Weight

    14 kDa

    Gene ID

    127845

    UniProt

    Q6ZVE7
You are here:
Chat with us!