Phone:
+1 877 302 8632
Fax:
+1 888 205 9894 (Toll-free)
E-Mail:
orders@antibodies-online.com

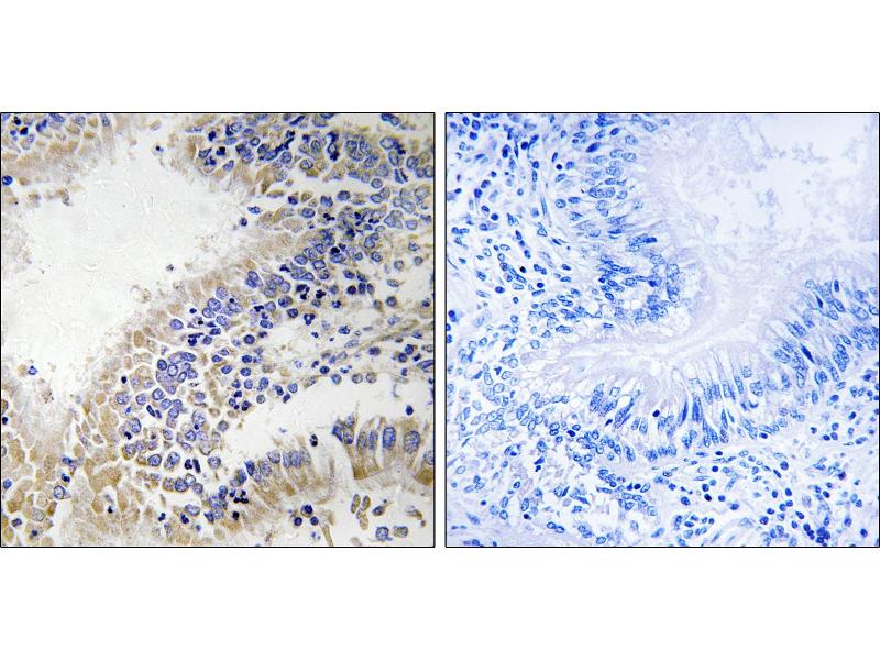
DHODH antibody (Internal Region)

The Rabbit Polyclonal anti-DHODH antibody (ABIN1576068) specifically detects DHODH in WB, ELISA and IHC. The antibody is reactive with Human samples.
Catalog No. ABIN1576068
$422.30
Plus shipping costs $50.00
100 μg
Shipping to: United States
Delivery in 12 to 15 Business Days

Quick Overview for DHODH antibody (Internal Region) (ABIN1576068)

Target

See all DHODH Antibodies
DHODH (Dihydroorotate Dehydrogenase (DHODH))

Reactivity

  • 44
  • 18
  • 17
  • 12
  • 10
  • 8
  • 6
  • 6
  • 5
  • 5
  • 4
  • 4
  • 4
  • 3
  • 1
  • 1
Human

Host

  • 39
  • 5
Rabbit

Clonality

  • 40
  • 4
Polyclonal

Conjugate

  • 35
  • 3
  • 2
  • 2
  • 1
  • 1
This DHODH antibody is un-conjugated

Application

  • 38
  • 22
  • 18
  • 5
  • 4
  • 4
  • 4
  • 1
  • 1
Western Blotting (WB), ELISA, Immunohistochemistry (IHC)
You are here:
Chat with us!