Phone:
+1 877 302 8632
Fax:
+1 888 205 9894 (Toll-free)
E-Mail:
orders@antibodies-online.com

TNNI2 antibody (AA 83-95)

The Goat Polyclonal anti-TNNI2 antibody (ABIN1590144) specifically detects TNNI2 in WB and ELISA. The antibody is reactive with Human, Mouse and Rat samples.
Catalog No. ABIN1590144
$488.25
Plus shipping costs $50.00
100 μg
Shipping to: United States
Delivery in 1 to 3 Business Days

Quick Overview for TNNI2 antibody (AA 83-95) (ABIN1590144)

Target

See all TNNI2 Antibodies
TNNI2 (Fast Skeletal Troponin I (TNNI2))

Reactivity

  • 52
  • 36
  • 27
  • 3
  • 2
  • 2
  • 2
  • 1
  • 1
  • 1
  • 1
Human, Mouse, Rat

Host

  • 46
  • 17
  • 1
Goat

Clonality

  • 34
  • 30
Polyclonal

Conjugate

  • 40
  • 6
  • 2
  • 2
  • 2
  • 2
  • 2
  • 2
  • 1
  • 1
  • 1
  • 1
  • 1
  • 1
This TNNI2 antibody is un-conjugated

Application

  • 53
  • 24
  • 23
  • 17
  • 10
  • 6
  • 3
  • 2
  • 2
  • 2
  • 1
Western Blotting (WB), ELISA

Grade

Verified
  • Binding Specificity

    • 10
    • 6
    • 5
    • 2
    • 1
    • 1
    • 1
    • 1
    • 1
    • 1
    • 1
    AA 83-95

    Purpose

    TNNI2 (aa83-95)

    Sequence

    EVRVQKTSKE LED

    Specificity

    This antibody is expected to recognize both reported isoforms (NP_003273.1, NP_001139313.1). Reported variants represent identical protein: NP_001139301.1, NP_003273.1.

    Cross-Reactivity

    Human

    Purification

    Purified from goat serum by ammonium sulphate precipitation followed by antigen affinity chromatography using the immunizing peptide.

    Isotype

    IgG
  • Application Notes

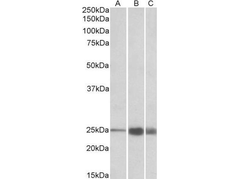
    Western Blot: Approx 25 kDa band observed in Human, Mouse and Rat Skeletal Muscle lysates (calculated MW of 21.3 kDa according to NP_003273.1). Recommended concentration: 1-3 μg/mL.

    Peptide ELISA: antibody detection limit dilution 1:8000.

    Restrictions

    For Research Use only
  • Format

    Liquid

    Concentration

    0.5 mg/mL

    Buffer

    Supplied at 0.5 mg/mL in Tris saline, 0.02 % sodium azide, pH 7.3 with 0.5 % bovine serum albumin.

    Preservative

    Sodium azide

    Precaution of Use

    This product contains Sodium azide: a POISONOUS AND HAZARDOUS SUBSTANCE which should be handled by trained staff only.

    Handling Advice

    Minimize freezing and thawing.

    Storage

    -20 °C

    Storage Comment

    Aliquot and store at -20°C, with minimal freeze/thawing. A working aliquot may be refrigerated at 4°C for a few weeks and still remain viable.
  • Target

    TNNI2 (Fast Skeletal Troponin I (TNNI2))

    Alternative Name

    TNNI2

    Background

    TNNI2, troponin I type 2 (skeletal, fast), AMCD2B, DA2B, FSSV, fsTnI, fast-twitch skeletal muscle troponin I, troponin I fast twitch 2, troponin I, fast skeletal muscle, troponin I, fast-twitch isoform, troponin I, fast-twitch skeletal muscle isoform, tro

    Gene ID

    7136

    NCBI Accession

    NP_003273, NP_001139313
You are here:
Chat with us!