This product contains Sodium azide: a POISONOUS AND HAZARDOUS SUBSTANCE which should be handled by trained staff only.
Storage
-20 °C
Storage Comment
Store at -20°C. Avoid freeze / thaw cycles.
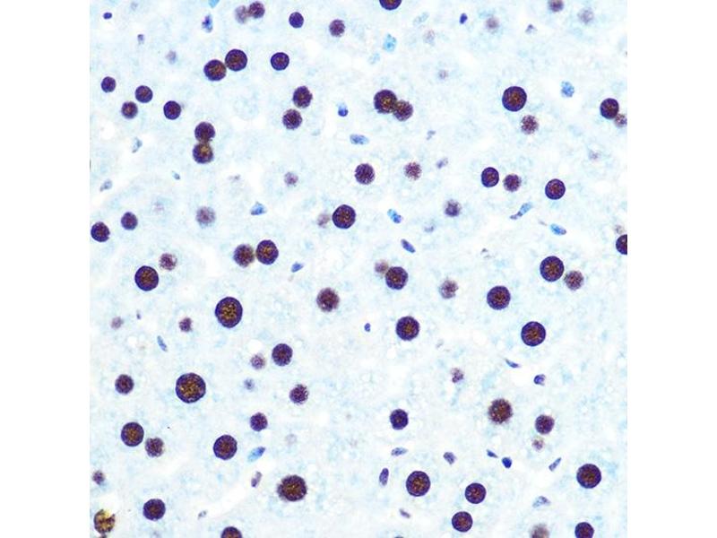
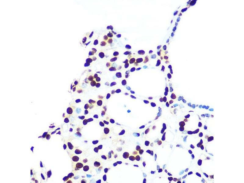
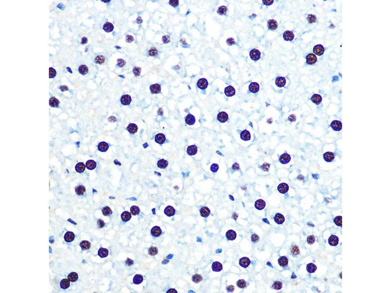
Target
HNRNPU
(Heterogeneous Nuclear Ribonucleoprotein U (Scaffold Attachment Factor A) (HNRNPU))
Alternative Name
HNRNPU
Background
This gene belongs to the subfamily of ubiquitously expressed heterogeneous nuclear ribonucleoproteins (hnRNPs). The hnRNPs are RNA binding proteins and they form complexes with heterogeneous nuclear RNA (hnRNA). These proteins are associated with pre-mRNAs in the nucleus and appear to influence pre-mRNA processing and other aspects of mRNA metabolism and transport. While all of the hnRNPs are present in the nucleus, some seem to shuttle between the nucleus and the cytoplasm. The hnRNP proteins have distinct nucleic acid binding properties. The protein encoded by this gene contains a RNA binding domain and scaffold-associated region (SAR)-specific bipartite DNA-binding domain. This protein is also thought to be involved in the packaging of hnRNA into large ribonucleoprotein complexes. During apoptosis, this protein is cleaved in a caspase-dependent way. Cleavage occurs at the SALD site, resulting in a loss of DNA-binding activity and a concomitant detachment of this protein from nuclear structural sites. But this cleavage does not affect the function of the encoded protein in RNA metabolism. At least two alternatively spliced transcript variants have been identified for this gene. [provided by RefSeq, Jul 2008],EIEE54, HNRNPU-AS1, HNRPU, SAF-A, SAFA, U21.1, hnRNP U,Epigenetics & Nuclear Signaling,RNA Binding,HNRNPU