Phone:
+1 877 302 8632
Fax:
+1 888 205 9894 (Toll-free)
E-Mail:
orders@antibodies-online.com

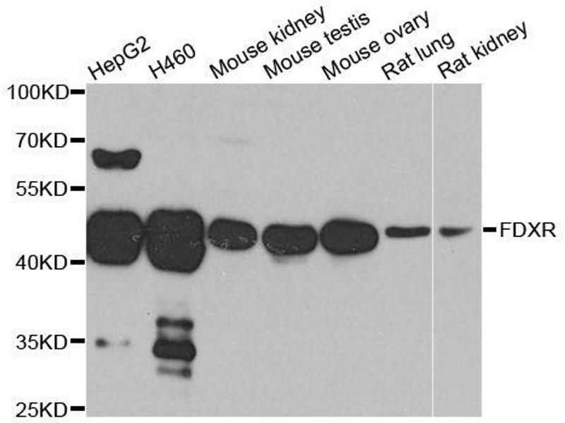
Ferredoxin Reductase antibody (AA 252-491)

This Rabbit Polyclonal antibody specifically detects Ferredoxin Reductase in WB. It exhibits reactivity toward Human.
Catalog No. ABIN1679833
$383.00
Plus shipping costs $50.00
Shipping to: United States
Delivery in 7 to 10 Business Days

Quick Overview for Ferredoxin Reductase antibody (AA 252-491) (ABIN1679833)

Target

See all Ferredoxin Reductase (FDXR) Antibodies
Ferredoxin Reductase (FDXR)

Reactivity

  • 27
  • 22
  • 6
  • 3
  • 3
  • 3
  • 2
  • 1
  • 1
Human

Host

  • 40
  • 2
Rabbit

Clonality

  • 42
Polyclonal

Conjugate

  • 19
  • 4
  • 3
  • 3
  • 1
  • 1
  • 1
  • 1
  • 1
  • 1
  • 1
  • 1
  • 1
  • 1
  • 1
  • 1
  • 1
This Ferredoxin Reductase antibody is un-conjugated

Application

  • 37
  • 18
  • 13
  • 13
  • 6
  • 6
  • 3
  • 1
  • 1
  • 1
Western Blotting (WB)
  • Binding Specificity

    • 15
    • 7
    • 6
    • 2
    • 2
    • 2
    • 1
    • 1
    • 1
    • 1
    • 1
    • 1
    AA 252-491

    Sequence

    PILDPVDFLG LQDKIKEVPR PRKRLTELLL RTATEKPGPA EAARQASASR AWGLRFFRSP QQVLPSPDGR RAAGVRLAVT RLEGVDEATR AVPTGDMEDL PCGLVLSSIG YKSRPVDPSV PFDSKLGVIP NVEGRVMDVP GLYCSGWVKR GPTGVIATTM TDSFLTGQML LQDLKAGLLP SGPRPGYAAI QALLSSRGVR PVSFSDWEKL DAEEVARGQG TGKPREKLVD PQEMLRLLGH

    Cross-Reactivity

    Human, Mouse, Rat

    Characteristics

    Polyclonal Antibodies

    Purification

    Affinity purification

    Immunogen

    Recombinant fusion protein containing a sequence corresponding to amino acids 252-491 of human FDXR (NP_077728.3).

    Isotype

    IgG
  • Application Notes

    WB,1:500 - 1:2000

    Restrictions

    For Research Use only
  • Buffer

    PBS with 0.02 % sodium azide,50 % glycerol, pH 7.3.

    Preservative

    Sodium azide

    Precaution of Use

    This product contains Sodium azide: a POISONOUS AND HAZARDOUS SUBSTANCE which should be handled by trained staff only.

    Storage

    -20 °C

    Storage Comment

    Store at -20°C. Avoid freeze / thaw cycles.
  • Target

    Ferredoxin Reductase (FDXR)

    Alternative Name

    FDXR

    Background

    This gene encodes a mitochondrial flavoprotein that initiates electron transport for cytochromes P450 receiving electrons from NADPH. Multiple alternatively spliced transcript variants have been found for this gene.,FDXR,ADXR,Cancer,Signal Transduction,Cell Biology & Developmental Biology,Endocrine & Metabolism,Mitochondrial metabolism,Mitochondrial markers,FDXR

    Molecular Weight

    48 kDa/49 kDa/52 kDa/53 kDa/54 kDa/57 kDa/58 kDa

    Gene ID

    2232

    UniProt

    P22570
You are here:
Chat with us!